![]() |
![]() |
![]() |
![]() |
![]() |
![]() |
香宗我部亜人先生と、2009年、顎咬合学会誌、第29巻 第4号 290-297に発表したものです。
「矯正治療における歯周病学的配慮」
三宅正純、香宗我部亜人
始めに
歯周病と全身疾患との関係が示されているが、歯周病と不正咬合や矯正治療との有意な相関性は見いだされていない1)。しかし、矯正治療は、ポケットを作り、歯肉退縮や骨欠損を誘発する。特に、成人矯正治療は、成長が止まっているという特性から歯周組織を配慮して治療に当たらなければならない。咬合が歯周病を発症させることはないとされているが、近心傾斜歯は近心にプラークが付着し、ポケットを形成して骨喪失させる。矯正治療を行うにあたって、矯正治療は医原病を誘発させるということ考慮し、骨や付着の喪失、歯周ポケット形成を最小限に食い止める為に歯周組織に配慮して治療行う必要がある2)。
Although the relations between periodontal issues and other physical disease have been reported,significant relations among periodontal disease,malocclusion and orthodontic treatment have not been reported.However,orthodontic treatment creates pockets,causing gingival recession as well as bone loss.Especially,in adult orthodontic treatment we must consider the periodontal tissue.It has been considered that occlusal problem would not cause periodontal disease,but mesial inclined teeth tends to cause plaques to the mesial site,forming pockets,eventually leading the bone loss.We concluded that what we conduct orthodontic treatment,we must be careful of the periodontal tissues,in order to avoid the bone loss,attachment loss,or formation of periodontal pocket.
Key words
矯正治療、歯周病学的配慮、退縮
退縮
退縮の原因は、1.歯周病、2.不正咬合、3.薄い頬側骨、4.少ない付着歯肉、5.悪習癖(ブラッシングによる外傷)、6.医原性(矯正治療、縁下マージンの修復物)が考えられる。
1.歯周病
ハイジーンの方法に問題がある場合、口腔衛生指導を行い、歯石、歯垢を除去すれば、歯肉は戻り退縮は回復することがある。それでも戻らない場合に歯周外科を行う。
2.不正咬合
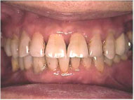
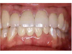
頬側に外側転位した歯牙のバッカルプレートは薄くなり、外側に位置していればブラッシングによる負荷が強く加わり退縮が誘発される。通常、退縮が歯槽粘膜に入ったらハイジーンを指導し、矯正治療によって頬側転位している歯牙を歯槽骨の中に移動させ、炎症を消退させてから歯肉移植するべきである。(図:頬側転位歯の矯正治療と審美歯科治療)。
![]() |
→ | ![]() |
下顎左側前歯:頬側転位 |
矯正治療 |
![]() |
→ |
![]() |
矯正治療中 |
上顎前歯:審美歯科治療 |
3.薄い頬側骨
頬側骨が薄ければ、歯肉も薄くなり、ブラッシングによって退縮し、セメント質が露出すればアブレージョンが生じる。退縮しているという事自体、骨、歯肉が薄くなっていることを意味している。しかし、歯肉が厚く、ハイジーンが良ければ、クリーピングアタッチメントによって歯肉は戻る。矯正治療は、歯牙に耐えず負荷を加えていることになるので頬側骨は喪失する。
4.少ない付着歯肉
クッションとして存在する付着歯肉が少なければ、牽引され退縮が誘発される。メイナードは、退縮の要因に歯槽骨の厚さと付着歯肉の量を挙げた(図:歯槽骨の厚さと付着歯肉の量) 3)。
| Type1 | Type2 | Type3 | Type4 |
![]() |
![]() |
![]() |
![]() |
| 歯槽骨が厚く、付着歯肉も十分 | 歯槽骨は厚いが付着歯肉は少ない | 歯槽骨は薄いが付着歯肉は多い | 歯槽骨が薄く付着歯肉も少ない |
| 退縮は起こらない | 退縮は起こり難い | 退縮は起こり難い | 退縮は起こりやすい |
5.悪習癖(ブラッシングトラウマ)
前歯部、大臼歯のアーチは直線であるが、犬歯、小臼歯部は、湾曲して突出している(図:犬歯、小臼歯部のカーブ)ので、ブラッシングで強い力が加わり退縮が生じる(図:頬側転位歯)。上顎の退縮は、ハイジーンが問題ではなく、ハイジーンが良すぎて誘発している(図:上顎前歯のブラッシングトラウマ)。このようなブラッシングトラウマは、横磨きを正す口腔衛生指導が要求される。
![]() |
![]() |
| Buccaly Positioned Teeth | Anterior Brushing Trauma |
![]() |
| 図:犬歯、小臼歯部のカーブ |
6.医原性
a.矯正治療
矯正治療は持続的に咬合性外傷を誘発することによって歯牙移動が達成されているのであるが、咬合性外傷は、歯周炎の増悪因子に発展する(図:矯正治療による乳頭喪失)。




b.補綴修復治療
薄い歯肉に、クラウンマージンや矯正用バンドマージンを入れてしまうと歯肉マージンは逃げて退縮してしまう。歯肉が薄い場合は、縁上マージンにすることが大切である。
c.歯周外科治療
前歯部は、頬側プレートは薄く、海面骨まで距離があるので、フラップ、骨膜を開けた途端、血流が途絶え退縮が開始される。その為、血液供給の途絶えがちな前歯部は、なるべく、フラップを開けないで、ルートプレーニングすることが要求される(図:前歯部の退縮)。
歯槽骨
前歯部
骨の頂上は、皮質骨(ブルー)であり、修復する為に海面骨(赤)からの血液供給を受けるには海面骨までの距離が遠く、又、前歯部の頬側プレートは薄いので、破壊が修復に先行して骨欠損して乳頭が喪失し、ブラックトライアングルが出現することになる(図:前歯部の退縮)。
![]() |
→ | ![]() |
前歯の退縮 |
||
乳頭形成因子
乳頭があるか否かの要因は、A.骨とB.歯牙のa.形態、 b.位置、c、存在、d.長さ、そして、e.距離である。乳頭再生は、歯間の解剖学的形態が乳頭形成に影響する。乳頭には骨が無く、歯と歯の間にはさまれていているだけで、横の歯牙のサポートがなければ乳頭はなくなるので特に距離が大切になる。
| 歯肉形態 | a | b | |
| 骨 | 歯 | ||
| a | 形 | 歯肉の形態は骨が決定するので乳頭の存在は骨が決定する。歯槽骨が広ければ乳頭が育成される。 | 逆三角形の形態の歯牙は、乳頭を失いブラックトライアングルが形成される。長方形の歯牙は、接触点が歯槽骨に近くなり、乳頭が形成される。 |
| b | 位置 | 乳頭への血液供給は骨の位置が決定する。インプラントとインプラント間の3mmの距離は乳頭を形成する。 | 骨の無い乳頭は隣接歯に挟まれているだけであるので、隣接歯間スペースができれば、乳頭が喪失する。 |
| c | 存在 | 骨が喪失すれば、歯肉が喪失する。 | 両臨在歯の存在の乳頭の存在を決定する。乳頭は、骨が無く、つるされているので、臨在歯の存在によって、存在する |
| d | 長さ | 骨が短く、接触点からの距離が長くなれば、乳頭を喪失する。歯槽骨の横の距離である幅が広ければ乳頭が育成しがちになる。 | 歯牙が長く、骨までの接触点の距離が長くなれば、乳頭を失う。 |
| e | 距離 | 歯肉形態は、距離が決定する。骨と歯牙との接触点までの距離が長くなると乳頭を失う。 | |
乳頭
Dennis Tarnowは乳頭が形成されるか否かは、歯槽骨頂から接触点迄の距離が決定することを示した。この距離が5mm以下なら乳頭が存在し、6mmであれば50%が存在し、7mmは25%しか存在しないことを示した。つまり、5mmより距離が長くなれば、骨のサポートを喪失し乳頭を喪失することを意味している4)。
![]() |
| Measument from C.P. to C.B. |
| C.P.to C.B.(mm) | 5 | 6 | 7 |
| Presence(%) | 100 | 56 | 27 |
矯正治療による乳頭再生
乳頭再生の非外科治療には、1.補綴修復、2.矯正治療がある。外科では1.骨移植によって歯槽骨を上げる、2.歯肉移植がある。非外科治療で乳頭再生するのであったら、補綴より矯正治療の方が予知性が高い。矯正治療は、スペース、歯軸をコントロールすることが可能であるからである。このように矯正治療は退縮を誘発し、乳頭を喪失させるのであるが乳頭を再生する。しかし、接触点を根尖に下げて歯牙を近接させると、コルが長くなり、歯周組織は圧迫されて血行障害を来たし、さらに、退縮を誘発させることがある(図:矯正治療)
![]() |
![]() |
治療前 |
治療開始 |
![]() |
![]() |
Black Triangle出現 |
治療後 |
Miller Classification
1980年、P.D.Millerは退縮を4つに分類し、退縮がMGJの上であり、両側に乳頭が存在しているなら、根面被覆が可能であることを示した。
| Class | Ⅰ | Ⅱ | Ⅲ | Ⅳ |
![]() |
![]() |
![]() |
![]() |
|
| To MGJ | ↑(MGJより上にある) | ↓ | ↓ | ↑ |
| 乳頭 | ○(存在している) | ○ | CEJの位置に存在 | ×(存在していない) |
| 根面被覆 | ○(可能) | ○ | CEJの下あたり迄、根面被覆は可能、歯肉をCEJより上に移動させる事は不可能 | ×(横に歯肉より上に歯肉を移動させる事は不可能) |
6.歯肉移植症例
歯肉移植するにしても、退縮を阻止する為にも矯正治療で、接触点から歯槽骨頂迄の距離を5mmにしてから行うべきである(図:結合織移植)
![]() |
![]() |
治療前 |
矯正治療 |
![]() |
![]() |
矯正治療 |
ドナーサイト |
![]() |
![]() |
CTG |
治療後 |
臼歯部の退縮
矯正治療で、歯が移動すると、臼歯は骨が太いので、頬側骨が残るが骨縁下ポケットが形成される。抜歯矯正治療経験者、あるいは、ハイジーンの問題のある人、スモーカーは、50歳位になると、下顎第1大臼歯に水平的なポケットである根分岐部病変を有することが多くなる。矯正治療で歯が揺さぶられると、前歯部は骨欠損して退縮するが、臼歯部は、頬側の骨は太いので、垂直的な問題が出現し、内側の骨は喪失するが、外側の骨は残存するので、骨縁下ポケットに発展し、下顎第1大臼歯に分岐部病変に発展する。矯正治療は、歯牙に負荷を加え、歯頚部、根尖部に応力が集中し、歯頚部で骨破壊が生じる。根尖側は、対応するのが骨細胞であるが、歯冠側は、破損に対し、骨より早く上皮が侵入し、治癒反応として骨が喪失し7)、ルートトランクの短い第1大臼歯に根分岐部病変を作りやすくなる(図:矯正治療による骨縁下ポケットの形成)。
![]() |
![]() |
| 上皮(ピンク)、皮質骨(グレー)、海面骨(赤) | 臼歯は頬側骨が厚いので、骨縁下ポケットが形成される。 |
矯正治療によって下顎第1大臼歯の分岐部が開き易い理由
矯正治療が、下顎第1大臼歯に根分岐部病変が生じさせやすい理由に1.厚い頬側骨、2.短いルートトランク、3.CEJ下の陥凹の存在、4.エナメルプロジェクションの存在、5. インターミディエートバイファーケンションリッジの存在などが考えられる8)。
1.厚い頬側骨
成人矯正治療で、歯を動かすと、前歯部は、頬側プレートが薄いので、完全欠損するが、臼歯部は、骨壁が厚いので前歯部のように退縮しない代わりに骨縁下ポケットが形成される。矯正力による骨造成の反応で、逆に骨が形成されて外骨症に発展した場合においても骨縁下ポケットを形成される。
2. 短いルートトランク
第1大臼歯は、ルートトランクが短い為に分岐部に近接し、矯正治療によって骨欠損が誘発されれば分岐部が開くことがある。分岐部の長さは、第1大臼歯<第2大臼歯<第3大臼歯である。歯医者が入れたバンド、クラウンマージンはルートトランクを短くする。特に、成人矯正治療において、下顎大臼歯の頬側のCEJに矯正用バンドマージンは絶対に入れてはならない。ClassⅢ分岐部に発展させてしまえば、アブセスを作ることになる。
3.CEJ下の陥凹
陥凹が分岐部迄走行している場合、矯正治療によって、骨欠損が生じれば、陥凹部にプラークが蓄積し、炎症が波及して分岐部が開く(図:陥凹)。
![]() |
![]() |
![]() |
下顎 |
上顎 |
|
第1大臼歯 |
第1大臼歯 |
第1小臼歯 |
| 頬側、舌側ともに、分岐部が形成される。歯間よりも清掃しやすい。頬側より舌側の方が困難である。 | 第1小臼歯、大臼歯の近遠心の歯間に分岐部がある。歯間は清掃困難である。 | |
歯周病に最もポケットの再発が多いのが、犬歯と上顎第1小臼歯の間と第2小臼歯と第1大臼歯の間である(図:ポケット好発部位)。上顎第1小臼歯と第1大臼歯は、小さい歯から大きい歯に移行し、近心頬側根と口蓋根の間にスペースが存在するだけでなく、分岐部に向かう陥凹が存在しているからである。この部に矯正治療用バンドやクラウンマージンをこの歯茎にあわせてしまうと、プラークが堆積し骨喪失させるので、縁上マージンにしなければならない(下図)。この部のポケットがどうできるかは根の形態しだいなので、矯正治療後、プラスティによって真直ぐにして再発を防ぐ必要がある。
![]() |
![]() |
![]() |
Pocket好発部位 |
Upper Premolar |
Upper Molar |
Lower Posterior Recession Case






考察
歯周組織は機能下で生物学的な反応を示し生息する。歯槽骨は歯牙に加わるテンションがあって初めて機能する。歯にテンションが加わると、歯根膜は、力を分散させ歯周組織に伝達させる。歯周組織は、ストレスが加わり、歯根膜を介して骨に対しテンションが加わることによって、ピエゾ電位という弱い圧電位が発生して、骨形成活動が誘発されてカルシウムを呼び寄せ骨改造される。この骨改造は、破骨細胞と骨形成細胞が活動し、破壊と修復を繰り返している。圧迫サイドでは、骨吸収細胞によって、骨が破壊し、テンションサイドでは骨形成細胞によって修復され、骨改造が誘発され、歯牙移動が達成される。しかし、破壊が修復より強ければ、骨は吸収し退縮する。修復の方が強ければ、外骨症に発展する。骨は、テンションで形成されるが、負荷の状態で吸収されるが、どこまでがテンションでどこからが負荷か、まだ判らないので、これからの研究を待たなければならない。
参考文献
1)Lindhe,J.and Svanberg,G.Influence of trauma from occlusion on progression of experimental periodontitis in the beagle dog.J.Clin.Periodontal 1:3-14,1974
2)三宅正純,香宗我部亜人,矯正治療におけるオーラルハイジーン,矯正臨床ジャーナル6:73-82,2004
3) Wennstromn,J.L.,Lindhe,J.et al.Some Periodontal Tissue Reactions to Orthodontic Tooth Movement in Monkeys,Journal of Clinical Periodontology,14:121-129,1987
4) R. L.Vanarsdall, Mechanical and Biological Basics in Orthodontic Therapy,Treatment of the Periodontally Involved Adult;199-205.
5)小野善弘、畠山善行、宮本泰和、山本浩正,Key Points of Clinical

