このページのコンテンツには、Adobe Flash Player の最新バージョンが必要です。

Adobe Flash Player を取得

-
スタッフへ 連絡 診療項目
なぜ、なに 東京あいび歯科へ リモーネ矯正歯科へ

Invisible Brace
見えない矯正治療(リンガル矯正治療)

 
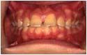
乱食い歯
受け口
開口
治療前 乱食い歯 受け口 開口
治療中 受け口 開口
治療後 乱食い歯 受け口 開口
  過蓋咬合 乱食い歯 出っ歯
治療前 見えない矯正 見えない矯正 見えない矯正
治療中 見えない矯正 見えない矯正 見えない矯正
治療後 見えない矯正 見えない矯正 見えない矯正