このページのコンテンツには、Adobe Flash Player の最新バージョンが必要です。

Adobe Flash Player を取得

スタッフへ 連絡 診療項目
なぜ、なに 東京あいび歯科へ リモーネ矯正歯科へ

小児矯正

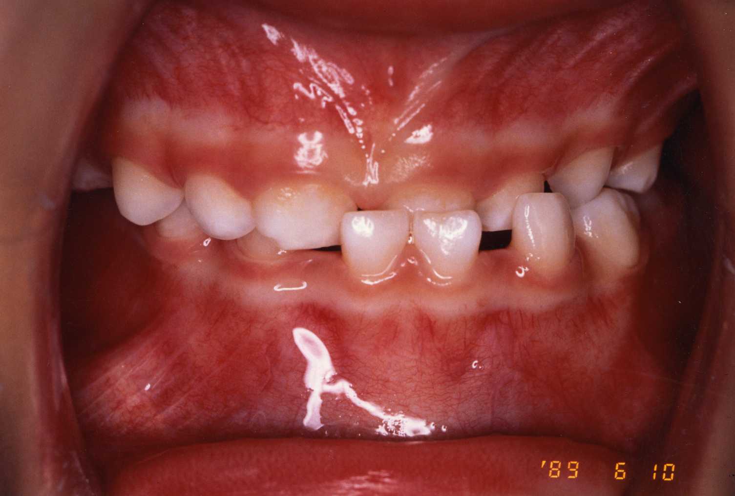
1
小児矯正
小児矯正
小児矯正
治療前
開始
1か月後
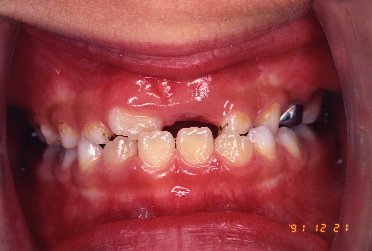
2 小児矯正 小児矯正
治療前
開始
2か月後
3
小児矯正 小児矯正 小児矯正
治療前
開始
3か月後

無料の予防矯正
(即日作った手製の予防装置)

1
予防矯正
予防矯正
予防矯正
治療前
開始
1か月後
2 予防矯正 予防矯正 予防矯正
治療前
開始
4日後
3
予防矯正
予防矯正
予防矯正
治療前
開始
3か月後