子どもの衛生的な取り外し式治療
![]() |
![]() |
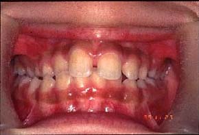
| 叢生 | 犬突 |
![]() |
![]() |
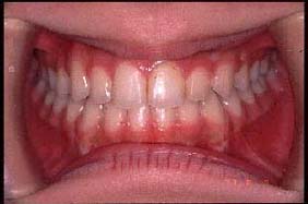
| 受け口 | 開口 |
自然成長誘導法+リンガル矯正治療
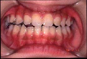
治療前 |
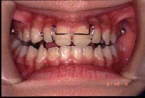
自然成長誘導法 |
リンガル矯正治療 |
治療後 |
Tweet(一言)
子どもの発達
Strange Situation
エインズワースの考案したStrange Situationの手順はこうである。1.赤ちゃんが母親と部屋に入る。2.赤ちゃんをおもちゃを遊ばせ、母親は、赤ちゃんと少し離れて坐る、3分間。3.見知らぬ女性に入ってもらい、1分間、静止してもらう。次の1分間、母親で、話してもらう。4.その後、その女性と赤ちゃんは遊んでもらう。次の場面で、母親は、不意に部屋から出ていってもらう。その間、見知らぬ女性は子どもとかかわろうとする。3分間続ける。5.しばらくすると母親が部屋に戻ってくる。赤ちゃんが抱っこを要求したら、抱いて泣き止ませる。その間に見知らぬ女性は退出する。3分間見る。Aタイプ回避型は、母親が居なくなることが判っても、慌てる様子がない。親との分離に不安、混乱が見られず、危機的場面で、Attachment Systemを活性化しないタイプ。母親が帰ってきたにも関わらず、安心することも身体接触を求めることもない。母親から目をそらし、避けようとする行動が見られる。母親が抱っこし、それをやめても抵抗することはない。母親と安全基地として利用することはしない、あるいはできないタイプ。Aタイプ回避型は、母親と関係なしに、行動する。子どもは、母親を安全だと感じる「安全基地」とし、安全基地があって、そこを中心にしてそこから探索する。Bタイプ安定型は、母親が退出しようとすると、必死になって追いかける。それでも母親が部屋から出ていってしまうと、混乱、号泣する。Attachmentを活性化し、危機的状況を守ってもらおうとする。母親が入室すると、母親に身体接触を求めようとし、身体接触によって、安心し、泣き止む。心理的に安定すると、また、一人で遊べるようになる。親、他人に対し、肯定的な感情、態度を見せることが多く、親との分離時に、見知らぬ人からの慰めをえることができる。母親を安全基地として利用し、積極的に探索行動を行うことができる。Cタイプアンビバレント型。母親が退出しようとすると、すぐに気づいて付いていこうとする。それでも母親が退室しようとすると大声で泣き続ける。母親が入室しても抱き上げても、泣き止むことはできず、母親をたたいたりして抗議のしぐさを示すこともある。このタイプの子どもは、Attachmentが過剰に活性化されている。母親を信じていないので、Attachmentのサインを出し続ける。随所に用心深い態度が見られる。母親を安全基地にすることができず、母親にくっついていることが相対的に多い。日本人はC Type、アンビバレントタイプが多く、ベビーシッターを利用することがないので、見知らぬ人に耐性がなく。母親と分離することをストレスに感じてしまう。
アタッチメント
ボウルビー(英、精神科医)が提唱した概念、「アタッチメント・愛着」とは、子どもが不安を感じる解消しようと養育者に近づき、養育者を安全基地にするシステムのこと。ボウルビーは、1950年、WHOの要請で、孤児の研究をしていた。新生児が大切な人を失う、新しい環境に移されたりしたとき、発達が遅れたり、免疫機能低下、精神的な問題が出てきたりすることを「母性的養育の剥奪」と定式化した。アタッチメントの形成は乳幼児期の大切な発達課題で、その後の人間関係にも大きな影響を与える。米のエインズワースは、母子を観察し、アタッチメントのタイプをA.回避型、B.安定型、C.アンビバレント型(両価型)に3分類した。Attachment TypeのAが安定、B,Cが不安定と分類されるが、問題にならないが、問題になるAttachment TypeはDの無秩序・無方向型。A.回避型の行動特徴は母親が居なくなっても、母との分離に平気再会時に、母親から目をそらしたり、避けようとする傾向がみられる。養育態度は、子供に対し拒否的、ほほ笑んだり、身体接触が少なく、泣いても取り合ってくれないことを覚え、泣かなくなっている。B.安定型は、分離時、泣いて混乱するが、再会時:身体接触を求め、容易に鎮静化される。養育者態度は、子どもの欲求に相対的に敏感で、過剰・無理な働きかけが少ない。Attachment形成のため、養育者の内的作業モデル、敏感性が大切になる。母親が子供のとき、養育者と、ネガティブな様相があって、それが頭の中に、モデルとしてしまいこまれている記憶のモデルを内的作業モデルという。母墺は子どもを可愛いと思うが、母親によっては、赤ちゃんがにくい、怖いと感じる人もいる。内的作業モデル:ネガティブなものからポジティブに変えること、敏感性:子どものサインを受け取って反応してあげること。この2つが育まれていれば、養育者と子供との間に健全なアタッチメントを形成することができる。そのために母親のサポートが必要だと言われている。養育者と子供との間に健全なアタッチメントを形成することができるようにするため、母親のサポートが必要だと言われている。情緒的サポート:相手の情緒に共感して励ましてあげる。道具的サポート:子育ては忙しいので、必要な物を上げる、そして、手伝いをする。情報的サポート:相手のストレス対処のための有益な情報の提供する。評価的サポート:相手の行動、意見を肯定的に評価して認めてあげる。コンパニオンシップ:相手を孤立させずに仲間に入れてあげる。
子供は、守られているという安心感、親との愛情関係が子どもの健康において不可欠だ。子供が健全に成長するには、友人は大切だが、一人以上の親密な関係にある大人の存在が不可欠なのだ。親でなければ、信頼することが出来る親族でも、近所の大人の人でも良い。この存在によって信頼性を確立するのだが、この存在いないと愛情を育むことができなくなる。安心感と愛されているという感覚は、困難に立ち向かい、どう立ち直るためにも重要なことになる。金銭面の安心感も重要であるが、余分な富は意味をない。それより重要なのが、目的をもっていたり、好奇心旺盛でいたりすることだ。
発達課題
乳児期の発達課題は信頼感で、幼児は不安な気持ちを泣いて訴える。それに対し、母親が適切に対応することで、赤ちゃんが不安を乗り越えられる。母親が不安を取り除いてくれることから、母親は信頼できる存在、そして、人は信頼できる存在だ。あるいは世の中は信頼できるところだという感覚を身に着けることができる。そこから広がって、人は信頼できる存在だと思えるようになる。あかちゃんがもつ不安に、適切に反応しないと、母親は、何もしてくれない存在、人、世の中は何もしてくれない存在だと思うようになり、不信感が優位になると考えられている。児童期の発達課題は、勤勉性対劣等感で、小学校で仲間同士のかかわりを強めていく場所。得意なものを伸ばし、苦手なものを克服していく時期、子どもは勉強、スポーツができるという意識ができて、一生懸命やる。勤勉性とは、やればやるほどできるから面白いという感覚が身に付き、面白いからやってみよう、という感覚。できないという体験を積んでいくとできないからやらない。やらないからさらにできなくなるという悪循環にはまっていってしまう。そうならないために、結果でなく、そのプロセスをほめてあげる。ほめられたということで、さらに頑張ろうという気持ちになる。発達理論は、社会の中の考え方でも変化していくので、絶対的に正しいという訳ではない。
養育者態度
サイモンズは養育者態度を保護、拒否、支配、服従の4つのタイプに分類し、それぞれに養育された場合、単独で強い場合のモデルを示した。1.支配型:支配型の養育者に育てられた場合、大人の顔色をうかがい、消極的で服従的な子供なりやすい。2.服従型の親に育てられた場合、乱暴、不注意、無責任、不従順になる。3.保護型の親に育てられた場合、感情安定、思慮的、好奇心がある、親切、神経質ではない。4.拒否的の親に育てられた場合、落ち着きがなく、注意を引こうとする。神経質(不安、劣等感)、反社会的、冷淡、親と同じように、人に冷淡に接するようになる。過保護型、甘やかし方が強くなると子どもの思いやりが低くなる傾向がある。 かまいすぎ、過保護型:支配型と保護型の親に育てられると、依存心が強く、幼児的なふるまいが抜けない。支配型と拒否型が強い人に養育されると、残忍・残酷型になる。親に逃避的な態度を見せるようになる。神経質、不安傾向が強くなる。拒否型と服従型が強い親に養育された場合、親が何を考えているかわからないということになるので、警戒心が強くなる。攻撃性も強くなる。保護的と服従的な特徴が合体すると、子どもは思うどおりになると勘違いし、自己中心的、反抗的態度が強くなる。養育者態度が必ずしも、子どもの性格を決定してしまうわけでもない。生まれつきの気質が性格に影響してしまうことが多いので、すべてが当てはまるわけではなく、そういう傾向が強まるとするモデルである。
自然成長誘導法
成長期の治療の根底にあるのが自然成長誘導法である。自然成長誘導法は、John Mewに依って確立され、日本矯正歯科界の重鎮、北総征男先生に依って日本に紹介された。故、高木省三先生等の「オルソトロピクス研究会」のメンバーの地道な活動のおかげで自然成長誘導法が伝えられ、勉強会が継続されている。水野修先生が主催する「HO臨床研究会」で、この自然成長誘導法の勉強会が開始された。故、増田伸也先生と故、大友亮ニ先生らが、相談、世話役をしていた勉強会「Giant Step」でもこの勉強が始められた。誰もが心を許せた増田伸也先生は、亡くなる直前迄、地元に根付かせようと奮闘していた。この様に、彼等を無償で駆り立て、亡くなる迄、血を騒がせた、自然成長誘導法とは?私はブラッシングのまったく出来ない脳性麻痺の息子にこの方法を試してみた。固定式矯正装置では考えられないこともあった。虫歯が全く出来ず、学校から表彰された。 自然成長誘導法の本来の目的は、機能を是正する事である。この方法は成長期の骨格的不正をはらむ、障害を持つ子供に対して傑出した治療法であるかもしれない。理論的背景には、姿勢の変化こそが不正咬合の原因であるとしている。 この様に、何が原因でMewが違った目で見て、伝統的な治療様式を捨て、何を今さら、アナクロニズムの一語に尽きる様な可徹式に依る治療方法を始めたのか? X線診断、便宜抜歯治療を捨てたのか?我々歯科医に限った事では無いが、自分の専門以外に目を向けたがらない性癖を克服しなければならないのだろうか?
不正咬合について
生体には正常を保つ補償作用があるが、それを補え無い程の環境因子がある。歯牙、骨格形態が遺伝するとしても、急に不正咬合を作る遺伝子が増える事はないので、環境、生活習慣、精神的ストレス、ホルモン、環境ホルモン(環境中に存在して、生体にホルモン様の作用を与える化学物質)の影響等、他の方に目を向けるべきだと云う。歯牙は顎から萌出したもので遺伝が決定しているが、口を開けている時間という要素が顎顔面の成長方向や顎の位置を決定し、顎の位置が、口唇や舌の位置を決定し、口唇や舌が、ニュートラル ゾーン、歯列の誘導路を決定する。故に、咬合は遺伝で、不正咬合は環境が原因であると考える。口呼吸者がブラッシングしても、閉口していない限り、ペリオの余後が、悪い。口を開ける原因となるアレルギー、習癖、舌、口唇、体の姿勢等の機能面で生じている事を改善する事が先決である。伝統的な矯正治療のメインテーマは、形態と審美で、自然成長誘導法は機能であり、まず、筋機能で解決する。アレルギー等で肥大したアデノイドや扁桃を切除して気道が確保しても、姿勢を直す、アレルギーの原因を断ち切る等を試みなければ、口唇閉鎖は出来ない。従来の矯正治療は、矯正治療の目的の1つはカリエス、ペリオに対しての予防的形態を作ることであるが、矯正治療の為害作用の3R、Relapse,Resorption,Ressesion、そして、歯牙、歯周組織、顎関節への影響みならずに、顎顔面、体の姿勢に波及する。Mewは、コマーシャリズムに誘惑、抑圧される事もなく、法廷に引きずり出されても、ブラケット治療、便宜抜歯、X線撮影などをきっぱりと拒否した。
遺伝について
最近、遺伝子がいかにして動物の体型や性格を形成していくか大きく取り上げた記事はゴマンとあり、枚挙にいとまがない。スウェーデンでは、近視の人でさえ避妊手術を強いた。フランク サロウェイの著書、「反逆者に生まれて」では、遺伝子は家庭環境の中での兄弟順序に合わせた人格を作り、下の子供はゲバラの様な反逆児になる傾向を示している。そして、動物の行動も遺伝的にプログラミングされているのに過ぎない。遺伝子の研究は欠陥遺伝子を正常遺伝子に組み替える事に依って治療しようとして、人間相互の遺伝的な違いを研究し、遺伝子の重要性を実証してきた。例えば、又、同性愛者の視床下部の繊維束が細い、あるいは、脳細胞のセロトニンに影響する長い遺伝子と短い遺伝子があるが、短い遺伝子とノイローゼとの間に有意の相関関係があり性格は遺伝子が決定する、そして、クローンは性格迄コピーされると云う。又、たばこ喫煙に依って急増させられた、脳内の神経伝達物質(情報を伝達する化学物質)であるドーパミンは、喫煙したいと欲望を促すのであるが、そのドーパミンの量は遺伝的に決定されているとしている。つまり、習癖も遺伝に依って支配されていているので、その個人の人格を非難すべきでは無いという。これらの遺伝子の研究は、筋機能療法等で、習癖を治療しようとした試みが無意味であるを示しているのかもしれない。しかし、遺伝的に見て、全ての人間がコピーであり、我々が共有している遺伝子の多くが、環境に依って、違った行動を取る事を可能にしている。動物の行動において高等な動物に進化するほど、遺伝子よりも環境因子が強く働く場合が多くなる。ダーウィンを始めとする生物学者は、ヒトが特別な存在で、高等だという宗教や神話を覆してきた。ヒトも動物なのだということだ。しかし、不正咬合はヒトの生活習慣、環境変化等が原因となって生じたアレルギー等に依って口が開く事に依る姿勢の変化が原因であると考え、原因除去を行っている。
環境について
ドキュメンタリーテレビ番組「枯葉剤」を見た。ベトナム人だけでなくベトナム戦争の帰還兵が、癌に犯されたり、障害児が生まれたりしている為、枯れ葉剤に依るダイオキシンが疑われた。人体は生物学的特徴と環境が要因になって影響を受ける。食品、食品添加物、農薬、生活習慣、たばこ、大気汚染、電磁波、放射能、ホルモン等に依ってDNAが影響を受けて、体内に異常な反応を起こすと考えられている。 第3世界では毎日数万人の子供が不潔な食事と水に依る下痢、栄養不良の為に死んでいるが、多くの日本の子供は食品アレルギーに罹って姿勢を変化し、不正咬合を増加させている。日本食は健康食と云われ、海外での寿司バー等で、人気を博しているが、欧米化し、日本人の食事は動物性脂肪が増え、繊維が減っている。こうした食生活が子供の早熟に拍車をかけて、アレルギーの要因の1つになっている。子供は発育途上にあるので細胞分裂が盛んで肝臓の様な臓器の有害化学物質(ソーセージやハムに加えられる防腐剤、着色剤、人工調味料、食品添加物等)の除去能力が低く、子供は成人に比べて体重当たりの食品摂取量が多く、有害食品摂取量が多くなる。たばこ喫煙に依って、健康を害し、医療費が財政を逼迫する。たばこには催アレルギー性物質が含まれているので、子供の間接喫煙の影響を受ける。米国では自国民の健康を守る為に、自国の販売に対しては厳しいが、米国のたばこ業界は東欧崩壊の時に真っ先に無料配布して、東欧の人々に味を覚えさせた。東南アジアでは、子供の物乞いは、そのお金で真っ先に自国へのコカイン輸出を厳しく取り締まった米国製のたばこを買いに行く。不法な麻薬より止めるのがむずかしいといわれるたばこは受動喫煙が非喫煙者の健康への有害性も問題にしなければならない。たばこが麻薬等よりも安全と云われるのは単に即毒性がなく、心臓を刺激して死にいたらしめる作用は無いからであるのかもしれない。しかし、ニコチンが脳に到達すると心臓の鼓動が早まって血圧が上昇し、血管が収縮して血行が悪くなり、温度が低下し、筋肉が弛緩するのだろう。たばこを覚えるのは10代なので、自動販売器を禁止さえすれば喫煙者を増やさないと思う。歯科治療に於いて、過剰なX線撮影は成長期の子供に影響しないとは云えないので、X線撮影は極力減らすべきである。又、原子力発電所の放射性物質が大気に放出され、廃棄物を捨て、地下水にしみだし、細胞の化学組成が変える。明治維新の改革で目指した工業化は環境に重大な影響を及ぼしている。 又、ゴルフ場から地下水に染み込んだ農薬は人体や環境への影響が無視出来ないので、韓国は大統領就任演説の時に一切、ゴルフをやらない、金は受け取らないと述べる。日本の総理大臣も見習って欲しい。農産物にも、多量の農薬が含まれていて、法定許容量は成人の摂取パターンに基づいており、子供を十分に保護していないので、子供の残留許容量の基準を設定する必要がある。大気にダイオキシ等の、有害ガスが吐き出され、河川に有害廃棄物が流し、森林は伐採され、地下水は農薬で汚染され続けている。生まれ育った田舎では、春の訪れをカタクリにぶら下がるヒメギフチョウで実感したのであったが、全く見なくなった。この環境破壊が、毎日約100種の生物を絶滅に追いやっていると云われているが、医薬品の多くは野性植物から得られた成分を含んでいて、絶滅していく植物が克服されていない治療薬となる成分をもっている可能性がある。有害な紫外線から環境を保護するオゾン層を破壊するクロロフルオロカーボンを大気に放出し、生物の生命連鎖反応の始まりであるプランクトンを死滅させている。又、電流が流れる所に生じる電磁波は生体に悪影響を及ぼすと云われており、パソコンのモニターからでる電磁波は小児癌に結び付く量の10倍の放射線が計測されることをコンヒューター関連雑誌に記載された。又、第3世界に於いて、子供の死亡率の最も高い下痢で、毎日4何万人もの子供が死亡している言われるが、抗性物質が普及さえすればその子供を救う事が出来る。又、この様な地域では、ブユに依って媒体された寄生虫の幼虫が眼球に侵入して河川盲目症に罹り失明している子供が居ると言う。しかし、日本に至っては抗生物質の普及で寄生虫がいなくなり、逆に免疫系が過敏になり、アレルギーに罹ってしまう子供が急増している。口呼吸を促すアレルギーはアレルゲン(かび、花粉、食品、サッシやじゅうたん、カーテンを使用した生活環境変化に依るハウスダスト、ダニ等)が体内に入って生じた抗原抗体反応に依って、リンパを腫脹させ、鼻咽腔を閉鎖する。鼻は鼻腔を複雑化し、鼻粘膜の面積を広げ空気の常在菌をフィルタリング、加温、加湿して気管に送っているので、鼻呼吸が大切である。ペリオに於いても、プラークが付いているとガムラインは下がって来るが、鼻呼吸が出来ていれば、ガムが急に下がる急性状態を作る事は少ない。 又、牛には成長誘発剤としてテストステロン、プロゲステロン等のホルモンが使用されているので、牛乳を飲んで育った子供は体が大きくなる。「奪われた未来、メス化する自然」等では、多くの化学物質が、生体にエストロゲン類似作用をすると云う。エストロゲンは、TMD,顎関節の骨代謝に関与するので、若い女性のTMDの罹患率に関係する。生理中に作られたホルモンは、体内の免疫系に影響を及ぼす為、生理中に乳癌摘出手術を受けると、5年以内に再発して死亡する確率が高いと云われる。アレルギー検査は朝よりも夕方の方が反応が出るので、アレルギーは子供の生活リズムに異変が起きた結果であると考えられる。リュウマチ性関節疾患の疼痛は体内の抗炎症剤が活動しない朝に起きるので、投薬は前夜に、変質性関節疾患は関節が動いて炎症を起こして疼痛を起こす迄に時間がかかる為に、投薬は日中に行う様に、生活リズムに合わせた投薬が勧められている。つまり、子供の生活態勢には、生活、免疫系のリズムも考慮してあげなければならない。本多勝一、平岡正明、森村誠等は日本人の行った捕虜の人体実験を扱って、日本人の順応主義を批判している。現在の子供は学校、塾等が強いられ、肉体的、精神的、道徳的ジレンマに陥り、精神的トラウマを被り、順応出来ずにアレルギー反応を起こしたり、閉口筋の活動性が強まり、食いしばり、歯ぎしり等のパラファンクションを起こさざるをえない、性格的に切れやすい状況にあるのかもしれない。ストレス、不満や怒りの蓄積を抑制すれば、血管が収縮し、筋肉の緊張が続けば、疼痛を生む。もし、顆頭が中心位から大きくずれていれば、咬頭干渉が生じる。ストレス下での、パラファンションは、過剰な負荷を、筋肉、歯周組織、顎関節、歯牙加える。長期に渡るとその中の1番弱い組織が破壊されて、咬合性外傷になるかもしれない。歯周組織が悪い人は骨欠損が生じる、歯牙が弱い人は、知覚過敏、楔状欠損、咬耗、面接触になって、動揺歯になる、化学物質を分泌し、顆頭を吸収させる様な、骨代謝に問題のある人に於いて、顆頭にCompresionが加われば、退行性関節疾患に発展するかもしれない。
歯列、顔貌への影響
通常、下顎切歯は上下口唇が閉じている位置し、下唇が上顎前歯のカーブを決定する。上顎前歯は、下口唇上に位置し、下唇の湾曲状態を決定する。下唇は上顎前歯切端を被っているが、覆い過ぎは2級2類に発展する。老廃物を浄化する、アデノイド、扁桃等のリンパ系は成長期に増大して、鼻呼吸を妨げ、アデノイド顔貌で知られる。下顎の位置は、開口しているか、閉口している時間で位置が決定され、下顎が位置している状態に成長方向が決定されていく。上顎の位置は、閉口していれば前方に成長する。開口しだすと、下顎が後方回転し、そして、上顎も後方回転し、上顎骨の傾斜度が強くなり、平坦な、顔貌が変化していく。開口しだすと、顔が長くなると、口唇が閉じづらくなる。口唇で閉じなければ、口輪筋に依る収縮作用が失われ、下唇下制筋、オトガイ筋を収縮させて唇を閉じなければならないの、口唇、顔貌の軟組織の形態が損なわれていく。 開口に依り、下顎が後方回転してくると咽頭を閉鎖するので、顎を上向きにして呼吸しなければならないなる。その為に後頚筋を緊張させ、頭を上向きにするので、舌骨の位置が下がり、舌は下方への位置変化を余儀なくされ、舌前突癖に発展する。舌前突癖が長びけば、下顎がさらに後退し、下顎枝が短くなる。上向きの頭位は脊椎に過剰な動きを強いて、環椎、軸椎、下顎の位置と角度そしてを変えて不可逆的な状態になる。舌圧は頬筋圧よりも強いので歯列を拡大する作用があるが、舌の位置変化は歯列弓を拡大する能力を失い、上下顎の歯牙の間に舌を挟んで嚥下する事になり、それに依る頬筋の緊張は歯牙を舌側傾斜させる。歯牙の舌側傾斜は顆頭の正しい位置を阻害する。そして、狭窄した上顎に対して余地を作ろうとしてパラファンクションに発展する。
診断について
判断のまずさ、あるいは医療過誤訴訟に対する恐れから患者にX線撮影するが、自然成長誘導法では、ヘッドフィルムを撮影してさえも診断を読み違えるので、自然成長誘導法では、X線撮影は行わないで、直接患者からインディケーターラインを用いて、診断する。咬合器は非常に簡便であり、歯牙、歯根膜からの固有感覚のインプットが排除されているので、下顎の偏位や、早期接触、咬頭を干渉を見つける事ができる。神経筋肉機構が排除されているので、顎関節が本来あるべき様に動く。咬合器の再現する限界運動は、治療方針を示してくれる。又、切歯路角を切歯斜面板で計測し、その相対性理論を利用し、大凡の顆路角、咬合平面を認識し、X線を減らすことができるかもしれない。
インディケターライン
自然成長誘導法ではミュウ先生が確立した上下顎のインディケーターライン利用する上顎のインディケターラインは耳珠から鼻尖に線を引いた線と上顎前歯切端から鼻への引いた接線との交点から上顎前歯迄の距離を計測する。正常値の基準は年齢+23mmで、長い場合は、それだけ、上顎が下方に落ち、開口していた事を意味する。不正は上顎が下方回転しているので上顎のインディケーターラインが長くなり、それを診断に利用する。下顎のインディケーターラインの軟組織の下顎下縁から下顎前歯切端の距離から計測し、正常値の基準は年齢+21mmで、長い場合はそれだけ、口腔周囲筋に依って舌側傾斜している事を意味しているので、正常値に近づける為、唇側傾斜させる。長い場合は、短くして前歯を前方に出し口唇が閉鎖させる事に依って上下顎前歯を接触させる。角度ではなく、線であるので、客観性に乏しいと思われるが、実際的である。
ステージ1装置
コズメティックラインが長いと前歯が直立し、筋肉で下顎を後方に牽引しなければならなくなり、側頭筋等の筋機能障害に発展する事がある。
カテナリーワイヤー:通常、靱帯は、顆頭を後方に作用するので、筋肉は斜面に対して顆頭を前方に位置する様にカテナリーワイヤーで2週間に1mmの割合で、前歯を唇側傾斜させ、インディケーターラインを3~4mm短くする。その活性化の方法は後方端から2mm位、外側に拡がる様にする。そして、後方端から8~9mmの所で、1mm内側に戻す。叢生の原因は歯列の前後径の減少であり、又、拡大すると、前後径が減少するので、カテナリーワイヤーを活性化しておく。舌側傾斜傾向の側切歯に最初に、活性化する。前歯に2本のカテナリーワイヤーを平行に作用し、適正に調整されれば、自然に歯牙が配列される。叢生は歯列弓が狭いのでなく、短い為に生じるので、前歯のインディケーターラインを短くして、顆頭を上方に成長させる為にも、顆頭を斜面の前方に位置させ、負荷が加わらない様にする。関節は滑液関節であるので、回転を少なくして、滑走させ、良好な滑液の状態に保つ。小臼歯抜歯に拠る、上顎前歯を後方に移動は、微小外傷作用を起こし、その抜歯処置に際しても問題をひき起こしてしまう。
拡大スクリュウー:口蓋を拡大する事に依って、鼻中隔を正直し、鼻腔底を下げ、鼻腔の容積を増大させ、上気道の狭窄を解消し、鼻呼吸を促す。アデノイドが肥大している場合、拡大に依って、気道が確保され、そして、次第に縮小していく。気道が確保されれれば、全身の姿勢が良くなるはずである。1週間に1mmの拡大の比率で8~10mm拡大し、歯列弓を取り囲んで、制限する頬筋、犬歯筋を押しやる。適切に拡大されれば、上顎の成長方向は正しい前上方方向に変化する。前方成長によって、頬骨が出れば、前突した、歯牙が受け入れられる様になる。拡大の為に、歯列に空隙が残る。クワドヘリッリス等に依る拡大は、上顎骨を拡大するよりも、歯牙傾斜の方が強い。
シェルフ:上顎歯列の拡大の為のシザーズバイトを防止する。拡大に依って、下顎歯列が、上顎の装置の舌側の棚と接触し、神経筋適応機構を最小限に抑える。棚は、中心に向かう20~25°の角度がついているので、拡大するにつれて、下顎がセンタリングさせていく。この棚が傾斜しているので、上顎が拡大されるにつれて、下顎歯列も拡大される。
クリブ:Eに装着し、乳歯を使用して、永久歯を正しい方向に導く。脱落したら、第1大臼歯に熱処理して 装着する。
レスト:大臼歯にレストがあり、圧下される様に、デザインされているので、挺出を防ぎ、バーティカルを下げ、口唇閉鎖させる。口唇閉鎖が出来ないと、通常の機能的矯正装置と同様に、遺伝要因が働き、リラップスに依って、再治療しなければならなくなる。機能的矯正装置は顎が開いているので、オーバージェットの改善するより、酷くする。
下顎ステージ1装置:拡大を行わない。しかし、ラテラルタングスラストの等の為に、臼歯が舌側傾斜している様な場合には、中央の太いワイヤーを外側に拡げるあるいは、舌側臼歯に接触する部分にレジンを加える事に依って、下顎臼歯を頬側傾斜させ舌の入るスペースを確保する。
ステージ2装置
ステージ1装置で舌房を確保する為に拡大した歯列を保定するのが目的である。舌房の為に、口蓋部にスペースがある。前歯の被蓋が確立され、ステージ3装置になった時は、その装置を装着していない時に装着させる。約半年位使用させる。装置の舌側の10°の傾斜が付加された棚に依って、下顎歯列が拡大される。その時、筋肉が弛緩し、ずれが生じて、側頭筋後復に作用し、片側の咬合の支点が発現し、ゴニアルアングルが角度、下顎枝の長さ次第で、開口傾向が発現する。
ステージ3装置
構成咬合:口唇が閉じやすい状態にする為、あるいは、多くの2級の顆頭は後方位にあり、上顎拡大に依って人為的に2級が酷くなるので、構成咬合は前後的に正しい顎関係で、口唇閉鎖しやすい位置にする。下顎の前方位に依って、骨膜を牽引し、機能、下顎骨を是正する。その位置は、舌根部を前方に移動し、咽頭腔が拡大され、呼吸しやすい状態である。不正咬合は垂直的な問題を有しているので、垂直的にバイトを閉じた状態で構成咬合を採取する。
ソフトロック:前方のロックの先端は治療毎にレジンで増築していく事で、顎を下げる事が出来なくなる。口を閉じている時は接触ぜず、開けた時にロックに接触するので、口を閉じざるを得なく、顎を開けた時に疼痛を生む事になる。又、前後のロックの為に、下顎を閉じざるを得ない。閉口している時に接触しているのは、前方ロックの先端だけである。
装着方法:固有感覚の情報を断ち切って、脳がロックを避ける様に、外側翼突筋、頬骨下顎筋(咬筋深層)に指令を出す。大脳皮質の意識下で、下顎前方位を癖にする為に、日中に使用させる。すぐに、この情報が脳に刻み込まれ、直ぐに、反射的に前方位を保つ様になる。そして、日中、装着できる様になったら、夜間の装着し、頚部の筋肉を安静状態にして、頭位を改善する。
前方位に因って、オーバージェットを改善する程の、下顎の骨事体を、成長変化させない。これは、側頭骨、上顎骨、蝶形骨等の、頭蓋の全ての骨が移動し、形態が変化する事に依って、上下顎の関係、オーバージェット、姿勢が改善されるものと想像される。この時点で、顎を開ける事なく、口唇閉鎖が達成されていれば、リラップスが生じない。下顎を前方位で保つので、骨代謝や自己免疫に問題がある場合、顆頭をエミネンスの前方で機能させているので、顆頭の前上方面が平坦化し、吸収する。 反対咬合や拡大した上顎に対して下顎の成長が追い付いてくる1級の構成咬合は、前後的に前方位で採取しない。側頭筋後復、顎二腹筋の下顎を後退させる筋肉に作用する。反対咬合に於いて、ステージ3装置で、ロックに対して、疼痛があれば、下顎を再び、出してしまうので、疼痛が無い様にする。
口唇閉鎖に依る前歯を直立が、前歯部が負担を持ち、関節部分に負担を減らし、エミネンスが形成される。そして、中心位の滑りもだんだん少なくなり、前歯部にガイドが確立される。最大嵌合位のヒンジする所がターミナルヒンジになり、中心位が中心咬合位になるのが理想である。口唇閉鎖が出来る様になるとオトガイ筋の緊張が無くなり、ガムの状態が健康になる。刷掃指導はその時、始めて意義がでてくる。これらの装置は、大臼歯が圧下される様に、デザインされているので、挺出を防ぎ、口唇閉鎖が得られやすい。顆頭後縁にリモデリングが生じるが、口唇閉鎖が出来ないと、機能的矯正装置と同様に、遺伝要素が働き、リラップスしてしまい、再治療が余儀無くされる。
ステージ4装置
患者が小臼歯交換期であれば、乳歯が抜けていて、クラスプを装着する歯牙が無いので、前歯の唇側にレジンの固まりを乗せ、固定にする。上顎小臼歯は、この装置のアプロキシメイティングワイヤーを調節して、下顎小臼歯はハードロックにレジンを加えて、小臼歯の萌出を待たないで、誘導していく。そして、小臼歯が萌出したら、ステージ3装置に戻る。頭蓋に対して、下顎骨の位置を決定するのは、窩であるので、側頭骨の回転を期待する。
1級:一般的な治療手順は、叢生は歯列の側方径の問題で無く、前後径の問題であるので、ステージ1装置のカテナリーワイヤーで上下顎前歯のインディケーターラインが短くするので、オープンバイトになる。その装置の第1大臼歯部のレストに依って、大臼歯が圧下されて、第1大臼歯にオープンバイトになる。そして、上顎乳臼歯を抜歯して、バイトをクローズする。前歯に叢生がある場合は、上顎前歯部に、良好なガイドを与える事が出来ないので、カテナリーワイヤーで前歯を唇側傾斜させ、叢生は改善する。結果的に、叢生の改善はプラークの付着を減らし、外傷性咬合を無くし、顆頭の横ゆれを防ぐ事になる。
2級:顎関係を改善する為に、ステージ3装置の装着期間が長い。
2級1類:すでに、インディケーターラインが短いので、あまり、前歯を前突させない。
2級2類:側方に力を加えている舌がバーティカルロスに導き、後方部の血管膝、2層部に影響してしまう。舌が側方に行かない様にインディケーターラインを短くして、下顎を出す為に、前歯を人為的にオープンバイトにする。
3級:低位舌は、クロスバイトに発展する。その為に、舌を上方に位置させ、上顎を前方成長させる。下顎の前方に位置させてしまう癖を防ぐ為に、装置にパーレイワイヤーをステージ1装置に付加する。拡大して、犬歯が干渉する場合は、前突癖を防ぐ為にも、パーレイワイヤーを付加する。下顎が前方に出す癖が無いのであれば、パーレイワイヤーを付加する必要はない。下顎前歯は、傾斜依って上顎の骨格を補償しているので、上顎前歯と同様、受け口であっても、下顎前歯を唇側傾斜させるべきである。
オープンバイト:舌小帯が短いと、Tongue Thrustになり、Open Biteの原因になる。又、 Zオトガイ舌骨筋が機能亢進し、舌骨が下がり、舌前突癖に発展している。舌前突癖は、歯牙の萌出力よりも、舌圧が強いので、オープンバイトに発展する。舌房を確保するにも、上顎を拡大する。拡大中にオープンバイトが酷くなるが、ステージ3装置で閉口させ、側頭筋、咬筋等の閉口筋の活動性を促してオープンバイトを改善する。拡大すると、もっと酷くなるので、難症例に対しては、ステージ1で少々、拡大して、ステージ3でバイトクローズして、そして又、同じ事を何度かくり返さなければならない。
斜傾:人間の体に於いて頭部が主導権をもっているので、瞳孔線が一致していない時、体を曲げ、椎骨全体が曲がってしまう。
可徹式治療よりも、固定式治療が好まれるのは、無理からぬことで、可徹式装置では、顆頭を中心位に近づけ、個々の歯牙に適正なティップやトルクを与え、1級で、しかも、臼歯の咬頭を窩にMICRO(Maximum Inter Cuspal Related Occlusion)で嵌合させる事が難かしい。固定式装置を用いなければ、歯牙を正直させる事は不可能になる場合がある。しかし、自然に歯牙は配列するものであるから、この治療後に、歯列を正直させる必要は無く、舌房を確保し、口唇閉鎖が出来るOral Postureが得られる事に依って、歯牙が自然に正直するものである。技術が未熟な私は、固定式矯正装置に依る併用治療をせざるを得ない。その為、この治療で口唇閉鎖が得られるが、唇側の固定式装置を入れると口唇閉鎖が消え、リラップスが生じてしまう(ミュウ)ので、舌側矯正治療で対処している。障害を持つ子供にさえ適用できる、人に優しい治療法であると言えるかもしれない。