![]() |
![]() |
![]() |
![]() |
![]() |
![]() |

審美歯科治療
利点
費用が安い、治療期間が短い
歯周組織にダメージを与えない。
欠点
健全な歯を削合しなければならない。
歯の神経を除去しなればならなくなることが多い。
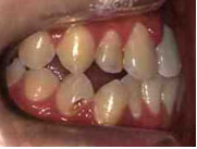
受け口
![]() |
![]() |
![]() |
治療前 |
補綴物 |
治療後 |
開口
![]() |
![]() |
![]() |
治療前 |
治療後 |
|
叢生
![]() |
![]() |
![]() |
矯正治療中 |
矯正治療後 |
治療後 |
ホワイト

(下記の論文は、岩淵良幸先生と顎咬合学会誌、第36巻 第1・2合併号、71-79、2016に発表したものです)
軟組織診断に基づく審美歯科治療
(Esthetic dental treatment base on soft tissue analysis.)
三宅正純1),岩淵良幸2)
Masayoshi Miyake,Yoshiyuki Iwabuti
Key words:
Soft Tissue Evaluation, Esthetic Dentistry,Osteoplasty
軟組織評価. 審美歯科治療. 骨整形
Orthodontic diagnosis is conducted based on evaluation of the hard tissue. However, alignment of the teeth is not harmonize the face,the standard of the beauty of the face and oral condition has been based on the soft tissue, so the evaluation of the soft tissue is significant. The case study shows a woman who complained the jaw diviation, i.e., skeletal mandibular protrusion. For the diagnosis and treatment, SNV Line1) was used. This SNV Line showed that it is important to treat the jaw so we conducted the orthodontic treatment as well as osteoplasty of the jaw. This methodology is a comprehensive procedure which covers esthetic evaluation, its diagnosis as well as treatment.
矯正治療は硬組織評価で診断する.しかし,歯牙を配列すれば顔との調和が図れるわけではなく,顔や口の美の基準を示すのは軟組織であるので,軟組織評価が重要になる.症例は, 顎の前突感を主訴とする顎偏位のある骨格的下顎前突症の女性で,診断,治療計画にSNVライン1)を用いた.このSNVラインによる評価において頤を後退させることが必要であることが判り,矯正治療と頤の骨整形を行った.このラインは,審美的な評価,そして診断,治療方針を明確にする.
緒言
人は顔などのプロトタイプに対し,学習ではなく生得的な好みが備わっている.人の顔はチェックされ,記憶されているプロトタイプと比較評価され,情報として用いられる2,3).顔は,体の中で最も注意が払われ,4)口は,顔のパーツの中で最も美に影響する5,6).美は,調和,対象性,平均にあり,全体と調和する個々の比率であるとされ7), 顔や口の美も比率と数字に基づいた美意識であり,審美歯科治療も口腔軟組織や歯の比率と数字に基づいた基準を持つことが大切であり,顔の特徴を表現するのは軟組織であり,硬組織は確実に表現しないので8),いかにして軟組織評価を治療に取り入れるかを考えた.
Ⅱ.症例の概要
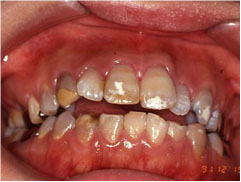
症例は32歳の既婚女性で主訴は頭痛,顎関節痛,下顎の突出感で, 受け口様顔貌を呈していた(図1).上顎左側前歯の歯冠修復物はBiologic Widthを侵害し,歯肉炎を被っていた(図2).下顎は左側偏位し,非偏位側である右側はAngle Super ClassⅠを(図3),偏位側は臼歯部クロスバイトになり,前頭筋,側頭筋,左側顎関節に圧痛があった(図4).診査して評価し,治療計画を作った(図5).
![]() |
![]() |
| 図1 受け口様顔貌(97年2月23日) | 図2 上顎左側中切歯の歯冠修復物はBiologic Widthを侵害 |
![]() |
![]() |
| 図3 右側はAngle Super ClassⅢ | 図4 偏位側の左側はクロスバイト |
![]() |
| 図5 治療計画 |
Ⅲ.評価
1.軟組織評価
顔の評価にSNVライン(Sub Nasale Vertival Line)を用いた.(図6)これは,Powell,N.が提唱した自然頭位における鼻下点からの垂線である.1) 軟組織評価は自然頭位における横顔写真を側貌セファロに移して計測し,評価する.
1)横顔写真
写真撮影は,立位の自然頭で写真撮影したいので,数歩,歩いたり,鏡をまっすぐ見させてから行う.安定のために足を少し広げ,口唇を楽に開けた状態で横顔を撮影する9).
撮影した写真上で,
①グラベラから鉛直線を引く.
②グラベラ-軟組織ポゴニオンラインを引く.
③鉛直線とグラベラ-軟組織ポゴニオンの角度を計測する.(図7)
2)セファロ
セファロ撮影では頭位をチェックすることができないので,写真撮影したときの角度を上唇を楽に開けて撮影したセファロに移す必要がある.
セファロ上で,
①グラベラ-軟組織ポゴニオン線を引く.
②グラベラから写真上で計測した角度の線を降ろし垂直線とする.(図8)
③垂直線に平行に鼻下点からのSNVラインを引く.
④SNVラインから上唇,下唇,頤までの距離を計測する.(図9)
日本人の平均値はこの線より,上唇が5mm,下唇が3mm前方位にあり,頤は5mm後退する10) (図10).症例はリップライン(上唇先端から下唇先端に引いた線)がSNVに平行になり,下顎前突様顔貌を呈していた(図11).
![]() |
![]() |
![]() |
| 図6 SNVは鼻下点からの垂線 | 図7鉛直線とグラベラ-軟組織ポゴニオンの角度を計測する. | 図8 その角度をセファロに移す |
![]() |
![]() |
![]() |
| 図9 SNVラインから上唇,下唇,頤までの距離を計測する. | 図10 SNVラインに対し,上唇は5mm,下唇は3mm,頤は5mm後退する. | 図11 リップラインが平行になると下顎前突様顔貌になる |
2.硬組織評価
1)プロフィール
側貌セファロにおいて,コンダイルの尖端は側頭骨の回転によって, Angle ClassⅠはFH平面上に,Angle ClassⅢはFH平面よりも上に,Angle ClassⅡは下に位置するが11),症例はコンダイルの先端がFH平面を越えている(図12).
FA(Facial Angle)は,FH平面に対するナジオンとポゴニオンとを結んだ線で,下顎骨前突度を示す.FA値が90°を超えて大きくなると下顎前突傾向を,小さくなると下顎後退傾向を示す11).症例はFA値が大きいので下顎前突症と診断される(図13).
![]() |
![]() |
| 図12 コンダイルの先端はFH平面を超えている. | 図13 FA値が90°を超えると下顎前突症を意味する |
2)対称性(図14-17)
対象性は正貌セファロを用い, CG垂線がメントンの中央,左右下顎中切歯の歯根の中央を通過しているかどうかで評価する.
①Zライン:左右のポイントZ点である頬骨前頭縫合を結ぶ.(図14)
②ZAライン:左右のポイントZA点である頬骨弓を結ぶ.(図15).
③CG垂線:篩骨鶏冠から,ZラインあるいはZAラインに対し垂線を下す.(図16)
症例は,CG垂線が左右の下顎中切歯の中央,メントンから逸脱し,左側に偏位している.(図17)
上下の歯列が合わない場合,咀嚼する為にどちらか一側に偏位させ,偏位側の臼歯関係は臼歯部反対咬合に(図4),非偏位側はSuper ClassⅢ関係になる(図3).
![]() |
![]() |
| 図14 ①Zライン | 図15 ②ZAライン |
![]() |
![]() |
| 図16 ③CG垂線 | 図17 下顎が左側に偏位 |
Ⅳ.治療目標(図18-25)
側貌セファロ上で
①SNV設定:SNVラインを引く(図18).
②上唇ストミオンライン設定: 上唇ストミオンラインを引く(図19).その位置に下顎骨を回転させ,下顎前歯切端を位置させる.
![]() |
![]() |
図18 ①SNVライン |
図19 ②上唇ストミオン |
③下唇ストミオンラインの設定:上唇ストミオンから4mm下方に下唇ストミオンラインを引き(図20)上顎切歯切端を位置させる.このラインは上顎前歯の露出量,オーバーバイト量である.
④軟組織メントンラインの設定:下唇は上唇の2倍の長さであるので,下唇ストミオンから上唇の2倍した距離の位置に軟組織メントンラインを設定する.この位置に下顎下縁を位置させるのであるが,このラインより下顎下縁が下方に位置するようになると,Interlabial Gapが増加し下顔面も長くなり,楽に口唇を閉鎖できなくなり,美しい口唇形態を得ることが難しくなる(図21).
![]() |
![]() |
図20 ③下唇ストミオン |
図21 ④軟組織メントンに下顎下縁を位置させる |
楽に口唇閉鎖ができるようにするために,
①下顎切歯切端を上唇ストミオンラインに位置させる(図22).
②上顎前歯切端を下唇ストミオンラインに位置させる(図23).
③上唇ストミオンから下唇ストミオンまでのインターラビアルギャップの中央に咬合平面を設定する(図24).
![]() |
![]() |
![]() |
| 図22 ①下顎切歯切端を上唇ストミオンまで移動する | 図23 ②上顎前歯切端を下唇ストミオンに位置させる | 図24 ③上,下唇ストミオン間に咬合平面を設定する |
治療計画(図25)
①矯正治療による咬合の確立
②オステオプラスティよる頤の後退
③前歯の歯冠修復
![]() |
図25 治療計画 |
治療
1.矯正治療(図26-30)
![]() |
![]() |
![]() |
図26 矯正治療開始(1997年5月21日) |
||
![]() |
![]() |
![]() |
図27 矯正治療中に前頭筋,側頭筋疼痛は解消された(1998年10月14日) |
||
![]() |
![]() |
![]() |
図28 治療後(1999年1月27日) |
||
矯正装置除去後は歯が動揺していて動きやすいのでポジショナーで歯の位置調整を行うことができた(図29).
![]() |
![]() |
![]() |
図29 ポジショナー (1999年2月20日) |
||
2.オステオプラスティ(図30-35)
ジェニオプラスティの手順(図30)
オステオプラスティで頤を後退させ, 下顎前突様顔貌を改善した.
(1)切開の手順(図31).
切開を行う前にX線の倍率を考慮してCEJから根尖迄の距離を計測した.頤孔を避ける為に犬歯から犬歯の間で,しかも根尖よりも3~4mm下方にアクセスした.切開は知覚麻痺を回避する為に必要最小限にして粘膜層(図32:点線)と筋肉層(図32:実線)に分けて行い,縫合を外部の粘膜層と内部の筋肉層を別個に行い止血を確実にした.
(2)フラップ
合併症を防止する為に下顎下縁を越えて筋肉を剥離したりせず,必要最低限に開ける必要がある(図33).
(3)オステオプラスティ(図34,35)
![]() |
![]() |
| 図30 頤整形の手順 | 図31切開の手順 |
![]() |
![]() |
| 図32 切開線 | 図33 骨整形 |
![]() |
![]() |
| 図34フラップ翻転(1999年3月15日) | 図35骨整形後(1999年3月15日) |
(4)縫合
海面骨部を削ると出血したので,出血が少なくなってから筋肉層を縫合し,次に粘膜層の2層に縫合しフラップが開かないようにした.
治療の前後の比較(図36,37)
下顎前突様顔貌が解消するために上唇より下唇を,下唇より頤を後退させる必要があった(図38).下顔面,Interlabial Gapをコントロールし,豊かな唇を得た(図39).もし,Interlabial Gapが増加して下顔面が長くなると楽に口唇閉鎖することが困難になり,コンケイブリップになる(図40).
![]() |
![]() |
![]() |
![]() |
| 図36 治療前のSNVライン | 図37 治療後のSNVライン |
![]() |
![]() |
| 図38 治療で上唇より下唇が,下唇より頤が後退した | 図39下顔面,Interlabial Gapをコントロールして豊かな唇を得た |
![]() |
| 図40 コンベックスリップとコンケイブリップ |
3.補綴修復治療 (図41,42)
補綴修復治療において,審美性向上させるために補綴修復物の長さ,比率,色調,露出などを考慮しなければならない.
1)プロポーション
上顎中切歯は10mm未満になると短く,11mmを越えると長く認知される.長さは10~11mm,4mm位の露出,プロポーションは,幅径÷長径=75-80%の範囲に収まるようにするべきである12)(図42)
2)色調(図43)
上顎前歯の審美歯科修復する場合,上顎側切歯や犬歯,下顎切歯よりも明るいので,最初にAタブを用い,それよりも黄色い場合はBタブで比較する.もし,Aタブで明る過ぎる場合はDタブで比較する.Aタブが明るすぎてDタブでは暗すぎる場合やAタブでは白すぎて,Bタブでは黄色すぎる時にミックスする必要がある.
![]() |
![]() |
| 図41 上顎前歯のプロポーション効果 | 図42 上顎前歯の色調(1999年8月16日) |
結果
症例はオーバーバイトが少ないので,顆頭が早く動き,早期接触が出現し,下顎前突症であるため,下顎と拮抗しようとした側頭筋の緊張,クロージャーストッパーの不在や平衡側干渉が頭痛を誘発していたと考え,上顎歯列はリンガルブラケットを用いて矯正治療した.リンガルブラケットに下顎前歯と接触することによって自己受容を変更し13,14),パラファンクションを消失させ,前頭筋,側頭筋などの筋緊張性の顔面疼痛を解消した.しかし,このような治療の約20%にパラファンクションの再発がみられることが明らかにされているが15),この症例は再発していない.
SNVによる軟組織評価によると上唇,下唇,頤が直線的になり,リップラインがSNVラインと平行になって下顎前突様顔貌を呈していた.矯正治療とオステオプラスティによって,下唇を上唇よりを後退させ,口唇の位置を変え,リップラインを時計方向に回転させることで顔を改善した.下顔面やInterlabial Gapをコントロールし,楽に口唇閉鎖できるようにして唇の形態を変えることができた.
考察
症例のような一側性のクロスバイトはTMDに罹患しやすいことが明らかにされている16)多くの人はTMDの兆候,症状をもっているが,治療が必要なのは極数%に限られる17) .矯正治療で用いたリンガルブラケットのスプリント効果を有する.上顎のリンガルブラケットは,脳の前頭連合野における自己制御感を高め,くいしばりをコントロールすることができる.
症例はリップラインがSNVラインに平行になっていたために下顎前突様顔貌を呈していた.そのため,リップラインを時計方向に後方回転させ,下顎前突様顔貌を改善した.上唇、下唇、頤の線は、後下方に傾斜したラインにする事が大切である.一般的に軟組織の評価は,通常,鼻先と頤を結んだ線のE-line18)やSabnasaleと軟組織ポゴニオンを結んだ線のSN-Pog19)が主流であるが, この症例のように,鼻あるいは頤が標準から逸脱しているような場合,これらのラインは鼻や頤に影響をうけてしまう.自然頭位におけるSNVは鼻や頤に影響されることなく,このラインだけで治療プランニングができる.しかしながら,上顎骨が後退して鼻下点の位置が逸脱しているような場合, 鼻下点自体が後退しているので,誤った評価になってしまうことがある.通常,診断の基準線とされているSNラインはセラの位置が個人によって上下してばらつき,FHプレーンにしても床に対して垂直になることは少ないので,診断の基準線を自然頭位にするべきだと思う,
結論
顔は,性格,地位,健康を予測する指標であり,また,他人に与える情報でもあり,私たちに治療目標,治療プランニングを教えてくれる.顔を評価するために軟組織に対する,調和,比率,対象性,平均などの数字に基づいた基準を持つ必要がある.治療計画に軟組織評価を組み込み,下顔面をコントロールしてインターラビアルギャップを減少させ, 豊かな唇を得ることが大切である.治療の目的は,楽に口唇閉鎖をできるようにすることである. 今回,軟組織評価に用いたSNVラインは,わたしたちが介入することができる顔の審美性に関与する唇や頤の形態,位置を認識させ,治療プランニングを明確にする.
文献
1)Powell,N.,顔面のバランスと審美,木下善助監訳,医歯薬出版株式会社,13-23,1993.
2)Longlois J.H.,Roggman L.A:Attractive faces are only average.Psychological Science,1,pp.115-121, 1990.
3)Langlois JH,Kalakanis LE,Rubenstein AJ,Larson AD,Hallam MJ,Smoot MT.Maxims or my ths of beauty:A meta-analytic and theoretical overview.Phychol Bull;126:390-423, 2000.
4)Woll S.B.,McFall M.E.:The effects of false feedback on attributed arousal and rated attractiveness in female subjects.Journal of Personality,46,214-229.1978
5)Cunningham M.R.(1986):Measuring the physical in physical attractiveness:Quasi Experiments on the sociobiology of female beauty.Journal of Personality and Social Psychology,50,pp.925-935.
6)Fraser I.H.,Graig G.L.,Parker D.M.:Reaction time measures of feature saliency in schematic faces.Perception,19:5,661-673.1991
7)Etcoff N.,なぜ美人ばかりが得するのか,木村博江訳,草思社,26-29,1999.
8)Kuhn TS:The structure of scientific revolutions,ed 3,Chidago,1996,University of Chicago Press.
9)Moorrees,C.F.,Van Menrooiji,M.E.,et al.:Natural head position,a basic consideration in the interpretation of cephalometric radiographs,Am.J.Phys.Anthiropol 16:213-234,1958.
10)曽矢猛美:下顎枝矢状分割法を適用した骨格型下顎前突症の硬・軟両組織の形態変化に関する研究-図形処理システムを利用した平均顔面頭蓋図形(CDS)による評価-日矯歯誌 45:1-27,1986.
11) Ricketts,R.M.,矯正治療への生体力学と生物学の基本原理,寿谷一監訳,Insight Corperation Tokyo Japan,277-299,2001.
12)Renner,R.P.,口腔解剖と審美性入門,内山洋一監訳, クインテッセンス,53-60,1992.
13)Rugh JD,Solberg WK:Psychological implications in temporomandibular pain and dysfunction,Oral Sci Rev 7:3,1976
14)Williamson,J. ,What type of Occlusion are susceptible to TMD? Am.J.Orthod.,72:29-33 1997.
15)Okeson JP,Hayes DK:Long-term results of treatment for temporomandibular disorders:An evaluation by patients.J Amer Dent Assoc;112:473-478,1986.
16)Seligman DA,Pullinger AG:The role of intercuspal relationship in temporomandibular disorders:A review:J Craniomandib Disord Facial Oral Pain, 5:96-106, 1991.
17)Rugh,J.D.,Solberg W.K.,:Oral health status in the United States.Temporomandibular disorders.J.Dent Educ;49:398-404 ,1985
18)Ricketts,R.,Planning treatment on the basis of the facial pattern and an estimate of its growth.Angle Orthod,27,14-37,1957.
19)Burstone,C.J.,:Lip posture and its significance in treatment planning.Am J Orthod 53:262,1967.

