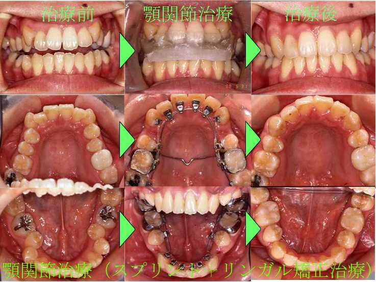
顎関節治療(スプリント+リンガル矯正治療)
![]() |
![]() |
![]() |
![]() |
顎関節症とは?
顎関節症などの疾患や病気は、悪い力やランダムな力によって生じるのではなく、過去に働いた自然淘汰のせいで起こる。疾患は、遺伝子の伝達を最大化するように自然淘汰が体を作ってきた挙句の妥協の産物である。残された子供たちのもっている遺伝子の利益のために存在する。私たちがもつ感情も、自然淘汰によって適応的に作られている。不愉快な感情は、痛み、嘔吐に似た防御反応である。 肉体的な痛みを感じる能力が、損傷を守るために進化してきたと同じように不安を感じる能力は、危険や脅威から身を守るために、筋痛、筋疲労が筋肉を使いすぎないように顎関節症になることが、顎を炒めないようにするために進化してきた。


なぜ顎関節症になるのか?
TMD(4P)
疾患には、1.器質的疾患:病理的、解剖的変化に基づく。2.機能的疾患:神経生理的変化に基づく。3.心理的疾患:情動や本能、あるいは、環境で誘発される心理的次元における疾患がある。心理的疾患とは、心理的ストレスで誘発される疾患であるが、Nobel PrizeのHans Selyeは、心理的ストレス刺激で機能的疾患が誘発されることを証明した。これはまた、器質的疾患も生じさせる。顎関節症は、Psycology:心理、Posture:姿勢、Parafunction:異常機能、Pain:痛みの4Pが作用し、活性化し、お互い修復しあって誘発されることになる。 疼痛は不安を呼び起こし、筋緊張させ、疼痛を増悪する。
| 疾患の種類 | |
| 器質的疾患 | 病理的、解剖的変化に基づく |
| 機能的疾患 | 神経生理的変化に基づく |
| 心理的疾患 | 情動や本能、あるいは、環境で誘発される心理的次元に基づく |
| 顎関節の誘因 | |
| Psychology | 心理的ストレス |
| Posture | 姿勢 |
| Parafunction | 習癖、異常機能 |
| Pain | 疼痛 |
1.Psychology
環境が変ったりすると心理的な刺激:Stimulusは、ストレス:Stressになり、ストレスは精神的緊張:Strainをもたらし、その状況を克服するのに、多大なエネルギーが要求される。迫り来る危害や破局に対する予期、不安、それによって齎される精神的肉体的緊張状態:Splinting、それに対する対策が講じられないことによる焦燥は、骨格筋の収縮度:Spasmを高める。その収縮は、血管の収縮を誘発し、血液不足を助長し痛み:Sornessが発生し、顎関節症を来すことになる。問題は、持続的な緊張であり、緊張は、不安を伴っている。顎関節疾患の原因は、心理的誘引で誘発される心理的なものが多く、心理的因子で生じる、あるいは、心理的因子が治療を阻害しているとしたら、心身症と診断される。顎関節症は、不安などの心理的誘因であることが多いので、何かに打ち込んでいたりしているとあまり発症しない。 Sigmund Freudによると人は快楽への意思によって、Alfred Adlerは、人は権力への意思、劣等感によってViktor Emil Franklは、人生の意味によって駆られるのだという。フロイトは、心理的障害によって身体的症状が出現することを転換ヒステリーと呼んだ。感情のエネルギーは別の表現を見出そうと、身体症状に形を変え、気の弱い人は、自負心、道徳心とかに傷つけると思われる感情に立ち向かうよりも病的症状を出現させるという。そして、このような感情及び、本能的衝動に立ち向かった時に症状は良くなると考えた。この転換ヒステリーの発現経過を示した。 フロイトは、現在、不安障害とされている神経症は快楽が阻害されたことによる欲求不満が原因だと考えた。神経症は、身体的、心理的、精神的な誘引によって体因性神経症、心因性神経症、精神因性神経症に分類されているが、医因性神経症とは、医師、歯科医などの治療者によって顎関節症などと病気とレッテルを貼ることによって病気に仕立てて患者に間違った診断、指導、治療を行うことで、病気を生み出す。顎関節症は、心気症:ヒポコンデリーという、身体に対する過度の心配しているだけのこともある。また、身体化といって、感情的なストレスを肉体の苦痛と取り違えているのかもしれない。社会因性の擬似神経症といい、「顎が痛いのはかみ合わせが悪いからです」とか、「かみ合わせが悪いと頭が悪くなる、頭痛になる」とかマスコミ、歯科医が警告していることによる場合の方が多く、かみ合わせが原因になっていることは少ない。それらによって、治療に対する不安等の情動が植えつけられると、自律神経反応してしまうことがある。 パプア ニューギニアの食肉種、ビアミ族は川がないので自分の顔を見たことが無いので、人類学者のエオマンド カーペンターは、鏡で顔を見せて反応を調べた。自分の顔を見て、呆然となり、鏡の前に立ち尽くし、震えだしたり、逃げだしたりした。この反応をカーペンターは、自己認識の恐怖と呼んだ。顎関節症の原因は、かみ合わせにあると思いたがる歯科医は、身体化したりして顎関節症が出現した患者さんに咬合治療する必要がないと思うことに自己認識の恐怖がある。鏡に映っているのが自分だとチンパンジーとオラウータンも認識できるが、18ヶ月未満の子供は認識できない。 顎関節症のように疾患の発生に心理的因子が誘引になっているか、心理的因子が治療を阻害している場合は心身症と診断される。かみ合わせが悪いから、顎がずれているから顎が痛いといって来院する人の殆どは、器質的な変化ではなく、その事実に対する心の態度から誘発し、患者さんに不安から生じ、痛みを訴えるようになっていることが多い。 矯正治療を受けて、しばしば顎関節症が誘発される。Jean WilliamsonがAJO(1997) によると、72%の患者は、矯正治療をする前に、すでに、TMDを持っている。それらは、過蓋咬合と開口が、リスクがある群ではあるが、不正咬合が顎関節症を発症させるのではなく異常機能が問題をおこすのである。
|
![]() |
||||||||||||||
| 顔の見たことのないビアミ族の人は自分の顔に対し認知の恐怖ある | |||||||||||||||
開口障害
開口障害には器質的な影響と心理的な影響とその重複がある。 開口障害の原因に、1.痛みの記憶、2.筋障害、3.関節炎、4.内障、5.繊維症、6.癒着などが考えられる。一般に、開口障害は、痛みの記憶が開口を制限し、無意識に動かさないようにする生体防御機構である。あるいは、筋肉の実際の痛みが制限しているのかもしれない。骨関節炎の場合、開口距離が平均20mmであり、開口障害が見られる。右側方運動が制限されている場合、患側の左側顆頭は、円板に衝突して動けないのかもしれない。又、右に8mm動かせて、左に2mmしか動かせないとしたら、右の顆頭が前方運動していない事になり、一般的に関節内の繊維症があるのかもしれない。もし、円板の癒着があれば、反対側が動きすぎて顎は 患側に偏位する。 顎の側方運動で、左側に8mm動かせて、右に2mmしか動かせなければ、左の顆頭が前方運動していないことになる。筋肉の制限、関節内繊維症、解剖学形態、関節円板が左側内側偏位による左側顎関節顆頭が円板への衝突かもしれない。リューマチ性関節炎の場合、関節の繊維性癒着に陥りがちだが骨関節炎の原因は筋肉であることが多い。癒着があれば、患側に偏位し、健側にハイパーモビリティを生じる。ハイパーモビリティは、クレストより5mm以上の前方に移動し12-13mm過剰移動し、後方の付着を伸展し、疼痛を誘発する。舌を口蓋に付けて真っ直ぐに、開口訓練する。半年以上経っても、20mmの開口ができなければ関節形成術を勧めるべきである。 関節は、関節頭とよばれる凸部と凹面をなす関節窩が共に、薄い軟骨で被服され関節面を形成する。 骨膜から続く結合組織で出来た関節包に取り囲まれている。関節包の内層は滑らかな滑膜を形成し、そこから分泌された滑液が関節腔を充たしている。滑液は、血管の分布がなく、血液が供給されていない関節軟骨に栄養を補給するとともに、関節運動の潤滑油の役割を果す。ヒアルロン酸と呼ばれるムコ多糖類が主成分の液体で、粘っこい。冷却されると粘度を増し、固くなり、関節の動きを制限する。
![]() |
![]() |
| Lock(開口障害)(Bill Farrer) | Reduction(Bill Farrer) |
![]() |
| Steep Eminenceは、下顎を前方運動させると、顆頭を前方に出すことが出来ず、下方に下がるだけで、前方運動する場合には、下顎が後退し、下方に移動する |
心理的影響
硬いものを噛んで、顎への痛みの出現したことを教えると硬いものを噛む行為が阻止されるようにする。心理的問題がある場合、開口困難は、痛みという記憶によって開口障害が誘発される。痛みという開口を躊躇させる原因がなくなったことによって、あるいは、開口しない行動を強化するものがなくなれば、開口困難は解消される。疼痛の度合いや頻度は疼痛を訴えた状況によって制御されている。どちらかというとヒステリー性格の場合、疼痛に誰かが同情するひとが居るとオペラント学習し、疼痛が持続される疾病利得を示す。こういった行動は、周囲が強化したのである。 ある行動をすると、ある環境の変化が起こり、行動の直後に必ず、何かが出現しているか、消失している。行動でも強化され、強化因があるから行われる。行動が強化されている以上、そこには強化因出現、消失がある。直前になかった強化因が行動によって出現、あるいは、増加によって、行動が強化される。口をあけようとしないのも強化因が存在するからである。ある行動が増加していれば、強化因の出現、消失のどちらかが存在している。行動の直後に何かが出現しているとしたら、強化因による強化、消失しているとしたら、強化因消失が存在しているかもしれない。その行動が減少、あるいは消失しているのなら、負の強化因出現による、あるいは、強化因消失によってその行動が弱められているかもしれない。負の強化因がその行動を抑制する場合には、その背後には、その行動を維持する強化因が存在している。強化因が現在、過去に存在していなければ、弱められる行動も存在していないことになる。 顎関節症の症状の一つである開口困難も、繊維性癒着のような器質的な問題よりも心理的な問題に原因があることが多い。開口困難の強化因がなくなれば、開口困難は解消される。開口困難は、痛みという記憶によって開口する行為が抑制されていることが多いので、痛みという記憶がなくなったことによって、開口できるようになる。負の強化因がなければ行動は元に戻って増えてしまう。負の強化因が消失すれば復帰するのは、その行為を維持していた痛みの記憶という強化因が存在するからである。スプリントを入れると食いしばりを止めるが、スプリント上でその行為が復帰するのは、その行為を維持していた強化因が存在するからである。 開口障害は、疼痛や疲労の記憶が動きを制限する。その間に筋肉が弛緩し、疲労物質である乳酸が除去される。その場合、下顎前歯部に上から力を加える。20~30mmと開口距離が伸びていくのであれば、筋肉の問題、心理的、あるいは、人格上の問題である事が判明する。もし、3mmしか増加しないのであれば、関節の問題でクローズドロックであることになる。アイシングなどの物理療法で、開口距離が増大するのであれば、筋肉の問題ということになる。筋肉の弛緩させ、乳酸を除去しようとするのであるが、その時期に筋肉が収縮すると筋肉はスパズムを起こして開口障害を誘発する、 患者さんに口を開けてもらい、術者が開口させようとすると、口を開けないように自動域と他動域、あるいは、垂直位と座位とでは、開口度が変化する場合も、心理的な、人格障害の問題があるかもしれない。その他、筋肉疲労(乳酸蓄積)、発痛点、解剖学的な問題、骨関節炎、関節円板の癒着などが考えられる。通常、開口困難がある場合、筋障害を伴っている。垂直的な開口度は、上下前歯の垂直的開口度との上下前歯のオーバーラップを足す必要があるので、正常は、上下前歯の垂直的な距離35mmに4mmの上下の前歯のオーバーラップが加わり実際の開口距離は、43mm、つまり2横指、指2本分になる。骨関節炎は、平均20mmしかあけることができない。 開口、体の運動させることで、制限、発痛点、心理的問題を知る。運動制限は、筋肉が長くならないことに起因し、他の組織が動く。身体的に問題がなく、体を動かすことを恐れる場合を動作恐怖症とされるが、その結果不安が増大し、問題が長引く。恐れはある理由で起こるが、恐怖症は理由なく生じる。神経障害の一種で、遺伝的素因があり、誇大妄想的に膨らんでしまった恐怖症が一定期間続く。脳内でセロトニンがうまく機能していないのが一因で、物事を悪くとらえがちである。内気、社会恐怖症の子供の心拍数が高い。社会恐怖症を起こす状況は、1.逃避する、2.我慢する、3.歯や顎の痛み、開口障害、心身症が表出する。
顎関節解剖



2.Parafunction
Clenting
人は、ストレスを蒙ると食いしばりを行うことで解消しようとする。ロナルド シーゲルの著書「ヒットラーの脳との対話」によると、歯科治療の9割の人が不安を感じ心身に問題が生じ、歯周病、顎関節症罹患しやすくなるという。顎関節症の90%の問題は、関節の骨などの器質的な原因ではなく、くいしばりなどの異常機能であるパラファンクションに起因する筋肉由来である。 筋細胞と筋細胞の間に毛細管が存在し、血液を注ぐ細動脈や古くなった血液を外に出す為の細静脈が存在する。食いしばりによって、筋が収縮すると血管は圧迫され、血液の筋細胞への流れを阻害し血液不足を齎し、血液不足での筋収縮の持続は、筋肉に乳酸を貯め2分間の筋収縮は筋痛が生じる(T.ルーイス)。 乳酸は筋細胞を損傷し、損傷された細胞から生じる酵素の働きによって、発痛物質ブラディキニンが産生され、ブラディキニンは疼痛を誘発する。顎関節症は顎の筋肉を収縮させる神経の活動亢進が増加したことに伴うことが多い。 可変性のある関節を作る骨の間に骨格筋と言われる筋肉が張っていて骨格筋が収縮すれば2つの骨上の筋の付着部は近接し、弛緩すれば離れ姿勢が変化する。意識的に行うことも出来るので、随意筋とも言われる。顎関節症は、顎、頭、頚部に在る骨格筋の収縮を伴う。うなじは、頭蓋骨の後方と首の骨の間に、こめかみは、頭蓋骨と下顎骨の間に骨格筋がある。このような行動に対し、Konrad Zacharias Lorenzは、慣れ親しんだ行動から満足が得られるのであり、新しい環境に入った事に拠る興奮、あるいは不安を鎮める機能を持つという。葛藤:Conflictの状況、アンビバレンスの衝動では、転位行動としてのグルーミング:毛づくろい、Scratching:体を掻くなどが知られている。
![]() |
![]() |
| ロナルド シーゲルの著書「ヒットラーの脳との対話」 | Konrad Zacharias Lorenz |
人の場合は、たとえば、不安を感じると、不安を解消する為、運動連合野は、食いしばり行為を行うように運動野に指令を出す。それを受けとった運動野は、その情報を脊髄の運動神経を通して筋肉に伝え、食いしばり行動を起こす。この食いしばりに適応できないと顎関節症になる。このように運動連合野はどんな運動をするか運動野に指令を出す。ボクサーの場合、運動連合野は、相手との距離、動きに合わせて、パンチを出すという指令を運動野に出す。運動野はそれを受けとり、その情報を脊髄の運動神経を通して筋肉に伝え、パンチを出す。スポーツなどに外傷を被ると、筋肉によって関節を保護する為に、無意識に筋肉を収縮して開口制限が生じてしまう。この場合、十分に冷却し、口腔に指を挿入して咬筋をマッサージし、ストレッチして開口させてみる。咬筋を弛緩させる為に抗炎症剤投薬を投与する。これらによって、開口制限が軽減され、臼歯部開口も咬合するようになれば、問題は筋肉であることになる。
朝が顎が痛い場合、歯軋りが、夜といえば、食いしばり関与していることが多い。この異常機能は、ストレス状況下で生じ、安心機能として作用する。人間における転位行動:頭を掻く、鼻や目をこする、腕や膝を揺する、服を正す等を自己順応とみなし、低い緊張、不安、葛藤に引き起こされる自己指向の転位行動である。環境に恐怖があり、社会的接触が不可能に感じられるので、行動を超親密化する事によって慰安と安心を求める。基底不安の防衛の為の反動形成であり、不安などの動因が誘発した強迫的な行動である。基底不安を経験したものは、不安を直面することが出来ず、不安から逃れる為、防衛の手段として用い、それが過ぎれば、顎関節症に発展させる。人は、それぞれ、痛みに異なった認識、反応、感じ方をする。ストレス状況でも生じるが、退屈さへの反応でも生じる。檻などの拘束された退屈状況でも生じる。檻の中に見慣れぬもの、新人を入れてやったら、消失し検索が始まったら、退屈が原因であることになる。もし、正常な社会環境を作っても、続く場合は、固体が異常に隔離された幼児期を過ごしたことになる。 ディスモンド モリスは、くいしばりは、体の中で慰安的で、リズミカルな動きを導き出し、子宮の中の安全な世界に戻ろうとしているのだとした。その安定した繰り返しから得られる親密性のおかげで、安心として作用する。社会的に社会的接触が不可能に感じられ、引込んでしまった人は、わずかな活動に固執し、一つの行為を律動的に繰り返せば、それは親密で安全なものになってゆく。母親が泣いている子供をゆすってなだめる動きは心拍と同じ速度で行われるから子宮の中と同様になり、母親の心臓のリズミカルな感覚を思い出させる。くいしばり等の行為を繰り返すことで親密で安全なものになる。多くのパターンは母親の鼓動のように心臓拍動のスピードで動く。過度に用いられると不可逆的、脅迫観念となり、必要がないのに持続してしまう危険が存在する。60%泣いて過ごした新生児に毎分72拍動音と聞かせると38%に減少し心拍音を聞かせると半分の時間で眠り込み、心拍音を聞かせていた新生児は、体重増加することが証明されている。新生児をゆする動きは心拍と同じ速度で行われるから子宮の中と同様になり、母親の心臓のリズミカルな感覚を思い出させる。体の中で慰安的な動きを導き出し、子宮の中の安全な世界に戻ろうとする。葛藤状態にある時や苦しい時、不安状態の時にくいしばったり、体をゆすったりする。


音楽はその性質をより明確に示す名前を採用し、Beat;拍動と呼んだ。John Coltraneのもとに居た今世紀最高のドラマー、故、Elvin Jonesの最も好きなリズムは心臓と同じ速度だと言っていた。

学習
なぜくいしばりをするのか?くいしばりのような行動を起こすのは、欲求、意思のような心理,無意識だけでなく、強化因に依ることがある。強化因は、行動の後に従い、あるいは、行動と同時に伴う出来事が将来の行動を決定する。どのような出来事が、行動に伴うかによって将来の行動の頻度、方向性が変わってくる。顎関節症の最大の原因であるくいしばりの強化因は、快感、落ち着く、ストレス解消などが考えられる。負の強化因は、筋痛、咬耗、周囲の視線などであるかもしれない。
その行動を取るのは、学習し、強化されているからであるからである。学習にはレスポンド学習とオペラント学習があるが、レスポンド学習し、刺激によって、自律神経反応が形成される。痛みが続いたりすると自律神経が興奮し、自律神経が支配している箇所に症状を作る。オペラント学習は、ある行動が強化刺激(報酬、罰)を随伴した場合、行動が自発的に繰り返される。もし、顎が痛くなった時、過保護な母親が心配してやさしくされた経験があると、食いしばって、ちょっとしただけでも痛いと感じるようにオペラント学習する。それが、慢性疼痛に発展してしまうと、更に、疼痛の感じ方、不安感、体の事を意識する、同情を受ける、責任から逃れる、不快な行動を避けるというような経時的に慢性疼痛行動が出現し、良くならないことから疾病利益を受けようとする。結果とは、行動の直前から直後にかけての状況の変化のことで、行動は結果による選択であることがある。異常な体の不調や痛がりは、結果によって強化されていることが多い。もし、相手が無視すれば、痛がらなくなる。痛みや不調は、相手という条件によってその度合いが変化する。痛みを言うそれぞれの相手は、刺激ということになって、親と歯科医に対して言い方が異なる。刺激性制御といい、行動に先行する刺激や条件が行動に影響する。ある条件では行動は強化されるが、そうでない時は、その行動は出現しなくなる。

舌についた歯痕が咬合平面に沿っているのは、Clentingする時に、粘膜も、歯牙の方に牽引され、舌の脇を噛んでしまい、噛むことによって、腫脹し、さらに噛みやすくなり、噛むようになる
Massetter(咬筋)
食いしばりをしていると咬筋浅部の起始部が痛む。その場合、頬骨弓直下の触診による圧痛の出現で確認することができる。咬合平面に対して、直角方向に食いしばりすれば、咬筋浅部の起始部に疼痛が誘発される。下顎を右側方向に歯軋りすれば、左側の外側翼突筋に疼痛が発生する。 咬筋の後方は、深部咬筋で、耳を前方に存在し、頭迄至ると疼痛を引き起こし易い 。こうすると痛いですか? 以前感じた痛みと同じですか? そうだとしたら、より疼痛を起こす領域に入ってきていることになる 浅部咬筋は、顎に沿った部分に疼痛を発生させ、深部咬筋は、耳迄疼痛を齎す。


くいしばりは筋肉に、歯軋りはむしろ、顎関節に影響を及ぼす。食いしばりをする人の安静空隙は、1mm以下である。鼻下点とメントンに印をつけてム、ム、ムと発音してもらい、顔が1番短くなった時の長さを計測する。Mを発音するときに、歯牙が接触するのであれば、安静空隙が減少である。Ⅱ級Ⅱ類の安静空隙は、約5~7mmである。 こめかみからあごにかけての疼痛は,咬筋,外側翼状筋,顎二腹筋が頭痛に関与していることがある。 咬筋触診で、筋繊維の方向と直角に触り、スジに触れるのは,筋繊維の方向に直方に触わり、もし圧痛を感じた時、痛みや不快感は,いつも感じている痛みと同じか違うか聞く必要がある。安静時の痛みとは自発痛のことで、触診されたときに自発痛は生まない。浅部の咬筋は前方にあり、咬筋の後方部分は深部の咬筋で、耳の前方部分にあり頭の方まで痛くなるような痛みを誘発する。浅部の咬筋は,あごにそった部分に痛みを発生させ,深部の咬筋は,耳の部分まで痛みをもたらす。
Splint
65%の歯軋りがスプリントを装着してもらうことで改善されることが判っている。しかし、スプリントの前歯部を厚くして臼歯部のコンタクトをなくしても、食いしばりや歯軋りが収まらない場合、内科医に処方を依頼するべきであることが示されている。オケソンは、鬱病に処方する三環性抗抗鬱剤の量の1/10の量の投与を勧めている。抗鬱剤は、中枢神経に作用し、神経筋機構の働かない夜間にも効果を示す。又、筋弛緩剤は、直接、骨格筋に作用するものや、中枢神経システムを介して、骨格筋に作用し、緊張を解除する。頭がぼーとすると訴えるので、服用後は、車の運転を控えるようにと話しておくとよいかもしれない。
Pterygoid Muscle
外側翼突筋や内側翼突筋の障害が、圧痛を伴う開口障害、片側の頭痛の原因になることがある。
![]() |
![]() |
| Book of Peter Neffから引用 | Travel,Simonの本から引用 |
Anterior Temporalis
Anterior Temporalisに刺激すると、Temporalisの前方、前歯部に関連痛が生じる。 Posterior Temporalis
Posterior Temporalisに刺激すると、Temporalisの後方、後頭部の疼痛が生じる(矢印後方2つ) 、TMJ,上顎臼歯に関連痛が生じる。
Medial Pterygoid
内側翼突筋にInjectionするとPalatine,Lateral Pterygoid,Ramus,TMJに生じる。 3.Posture
Forward Head Posture
頻繁にパソコン、テレビを見ていたりすると、猫背にして頭を出している為、その重い頭を支えるために僧帽筋、頭板状筋、頚板状筋、頭反棘筋などの後方頚部の筋が過度に使用されて疼痛発生源となり、頚部、顎関節、こめかみなどに関連痛が出現させることがある。頻繁にパソコン、テレビを見ていたりすると、猫背にして頭を出している為、その重い頭を支えるために僧帽筋、頭板状筋、頚板状筋、頭反棘筋などの後方頚部の筋が過度に使用されて疼痛発生源となり、頚部、顎関節、こめかみなどに関連痛が出現させる。


パソコン、調理師、楽器演奏者等のように、僧帽筋を用いて、手を前にもっていく状態の多い職業の患者は、僧帽筋が首を伸展させて頭を前方に出している。

姿勢や精神的ストレスは、後頭部からうなじが多いが、めかみ、眉間、顎などに痛みをもたらす。痛みは、持続的であり、発作は無いがこめかみや後頭部がしめつけられる感じ、頭全体が万力、鉢巻で締め付けられるような感じ、帽子を被ったような感じ、首筋のひきつけるような感じ、首や肩のこった感じという形容が伴う。気遣い多忙等で精神が緊張し、慢性的な焦り、不安といった精神状態が存在する。頭や首に痛みが存在する場合にこれが原因になって、姿勢や顔つきの異常となる、痛みは、更に、筋緊張の原因になる。不安、緊張を和らぐ為に、精神安定剤を筋の緊張を除去するため筋弛緩剤、収縮しているうなじや筋肉に局所麻酔剤を注射する。


姿勢が悪いと、頭を維持する為に、頚部筋が緊張し痛覚刺激が連続的に加わると、頚神経が中枢性の興奮を起こし、疼痛発生源になる。頚部に疼痛発生源として、疼痛の痛覚刺激が発生し、その状態が持続されると、運動ニューロンが中枢性に興奮して、そのニューロンが支配する筋が防御反応を誘発し、2次的に挙上筋の収縮が生じ、開口障害、筋痛など顎関節症様症状が出現し、疼痛感受部位になる。頚部の痛みが出現して、数週経過しても痛みが治らないと脳は顎関節の痛みとして認識し、顎に疼痛をもつという関連痛が発生する。痛みを伝えている神経と同じ神経の他の枝に、正中を超えて反対側に関連痛を生じることはあまり見られない。 アムステルダム大学解剖学教授のルイス ボルクの人の胎児化説によると、猿は成長過程で、脊柱尾部や膣が真っ直ぐになるのであるが、人は大人になっても胚期の脊柱尾部の湾曲状態は変化せず、又、顎が前方に突き出さず、顔面が平坦で後退傾向にあるので幼形のまま大人になった性的に成熟した猿の胎児であるという。その為、姿勢が悪くなり腰、頚部痛、顎関節症を持つようになった。顎が下がっているからバランスを取ろうと頭を前に出すので、それを支える頚部の筋肉が疲労し、頭を前に出すと顎が後退し後部神経を圧迫し、顎関節症を誘発する。 患者さんを壁の前に立たせ、踵を壁に接触させる。後頚部は、壁から約6cmの距離が理想である。この距離が大きければ、前方頭位、前傾姿勢という事になる。肩、背中、腰は、壁と接触し、首は、壁から約6cm離れるのが正しい姿勢である。

歯科医師は右側に傾斜するようになる。 姿勢改善において、大事なのが、可動性:Mobilityであるので、例えば、歯科医が、前右方に姿勢を傾けて仕事をしているので、後方、左側への体の伸展する。 横向きの睡眠は、下を向けている側に顎が偏位し偏咀嚼を促す。


OFP
顔面疼痛の半分以上は、頚部由来の関連痛であり、咬筋、側頭筋、前頭部に感じる頭痛の多くは、頚肩部筋に由来するのでスプリントは奏功しない。姿勢が悪いと、頚部筋で頭を牽引して肩が前方に出す。さらに、胸肉が収縮を誘発し、後方の頚部筋肉は、収縮した胸筋に拮抗して収縮して機能する様になる。 血流を阻害するのはコレステロールや中性脂肪以外に血管を収縮させる筋肉に蓄積される乳酸がある。乳酸によって、血管が収縮すると血流が阻害され、酸素が不足し、酸素を使用しないでエネルギーを作ろうとして乳酸が出て、コリが形成される。押す事で、乳酸が染み出て神経に触れるので、痛みが生じる。しかし、圧して、コリを除去する必要がある。押し方は人差指に中指を重ね、指の先に力をこめて、1,2,3と3回押し、最後の10回目位で、10秒位押し続けることを何度も繰り返す。刺激は脊髄を通じて、内臓や脳へ直接伝達されていく。


大脳辺縁系の1部の帯状回の前方個所は、怪我の痛みに感じる個所であるがシカトされた時に反応する。心の痛みと体の痛みは、同じ痛みとして帯状回に来る。帯状回の反応が大きいほど、気分の落ち込みも激しい。ある動物は、子を失ったりすると泣く、その時、帯状回の前部の個所が活動する。モルフィネは、悲しみを静める。 顎への外傷や虫歯などで、傷がついたり、破壊された細胞からカリウムイオンなどの発痛物質が出現する。その発痛物質は自由神経終末で電気信号に変換され、脊髄、視床を通過して、大脳皮質の体性感覚野に伝わり、痛みという感覚、痛覚を誘発することになる。その痛覚は、慣れが生じない。 疼痛は、1.急性疼痛、2.亜急性疼痛、3.急性疼痛(継続)、4.慢性疼痛(対処可能)、5.慢性疼痛(対処不可能)、6.慢性病理学的疼痛の6つに分類する。1.急性疼痛は疼痛の持続時間が10日以下、2.亜急性疼痛は10日から3週間の疼痛の持続時間で、この1、2に対し、合成麻薬系を用いるが薬剤耐性にならない。3.急性疼痛(継続)は、退行性骨関節炎、リューマチ性骨関節炎、内障などにおいて急性疼痛が再発する。三環性抗鬱剤に反応せず、麻薬、合成麻薬のみに反応する。たとえば、母親から「あんた熱があるのでないの」と心配されるという利得を経験し、報酬を受けたい為にオペラント学習している。麻薬投与しない限り実際疼痛を経験する。 4.慢性疼痛(対処可能)は、6か月間疼痛が持続し対処できる患者の場合である。国際疼痛学会は6か月と規定しているが、3か月の期間でも慢性疼痛とされることがある。6ヶ月以上も疼痛が持続すると、感じ方、不安、抑鬱、体を意識し、責任から逃れ、同情を受けようと心理面に変化が生じ、経時的に慢性疼痛行動が出現し、良くならないことから利得を得ようとする。心理学的な検査し、人格を判断し、心理、行動療法が要求されることになる。心理療法士に紹介し、カウンセリングで、ストレスレベルが変化することによって、症状が改善されることを認識させ、ストレスマネージメント、リラクゼーションなどを指導してもらうことが必要になるかもしれない。 5.慢性疼痛(対処不可能)は、心理、行動療法に強く抵抗するので、精神科に紹介するべきである。かつて、精神分析治療は、抑圧された記憶をよみがえらせ、トラウマに対する洞察を深めさせたりして、人格と統合させようとしていた。しかし、記憶を掘り起こすと、むしろ、環境との適応が困難になり病状を悪化していた。その為、患者さんの過去を問題にせず、呼吸法、リラクゼーション、行動療法などを指導して不安に対処する行動パターンを指導し、共感して治療者が自己対象になってあげて、断片化した自己を統合するような治療の主流になってきた。
VAS(Visual Analogue Scale,バス)
関節症の原因の90%が、パラファンクションや不良姿勢に起因する。電話、睡眠姿勢、コンピューターの前にC1と後頭部の間から出現する。これ以外が下顎、頚椎等のトラウマに依るものである。患者さんに、毎回、紙に100mmの横線を引き、線の上には、他のメモリは付けない紙を患者さんに渡し、治療者は、0は無痛、右端は10で最大の痛みだとすると今日の痛みは何処ですか?と言ってその線上に印を記して貰う。もし、70mmのところであったら、70%ということになる米国の麻酔科医が作製したこのバスの正確度は、+-14%とされている。この方によって、痛みを6種類に分類する。Pain Chartにプロットし、痛みの変動を認識し、痛みを管理する。



△Chronic Pain
痛みは、ある経路を通過して、頭に行き、そして、頭からある経路から戻って来るのであるが、経路が長い間存在すると、痛みの道ができて、痛みの原因を止めても痛みの記憶は、消えない。慢性病理的疼痛は、痛みが慢性化すると、疼痛が限局性ではなく、他の部位にも広がり、患者さんは、長い治療によって、精神的に影響されていく状態である。疼痛があると、針治療などで放出されるエンドルフィンなどの自己麻酔物質を作る能力があるが、鎮痛剤の投薬は、脳は、化学物質が入ることを認識し自己麻薬物質を放出しなくなる。しかし、疼痛が持続するので、鎮痛薬に拠らなければならので、良い抗炎症に変え、投薬をしなくて済むようにしなればならない。 スワンソン(メイヨクリニック、疼痛学者)は、日常生活の不適応は、自己評価を低下させ、欲求不満を誘発しそれを代償できない場合は、慢性疼痛で代弁するのだとした。痛みのリセプターからのインプット(情報)は、情報や行動としてアウトプットされる中枢統合システムは、安全(安心感)システムや福祉(幸福)システムと並ぶ機能である。安全システムの慢性的な機能不全が不安を誘発し、福祉システムの慢性的な機能不全が抑うつを誘発し、中枢統合システムの慢性的な機能不全が慢性疼痛の原因と考える。外的な刺激が、安全(安心感)システムに与えられると恐怖、福祉システムに与えられると悲嘆、情報処理システムに与えられると慢性疼痛が生じる 丸太俊彦は、口腔、その広がりとして顔面に慢性疼痛を訴える場合、心理的葛藤が見られ、それがさらに、葛藤を強化し反応に脚色を加えるのだとした。ゴンダは、慢性疼痛患者には、大家族出身が多いことを観察した。ゴンダは、下流階級の場合、大家族の方が、疼痛を訴えて、注意をひきたくなるような状況が多くなるからと推論した。中流以上ではそのような相関関係は認められない。スキーマーは、慢性疼痛の患者は、幼少期に情緒的接触の欠如、いじめ、強要など、不幸な経験していることが多いとした。スワンソンは、慢性疼痛の患者の多くが、幼児期に深刻な問題に遭遇していた。フォーダイスは、慢性疼痛の治療は、痛み自体でなく、痛み行動だとした。 慢性疼痛とうつ病との関係に3つの考え方がある。1.慢性疼痛は、うつ病の症状である、という考えがある。うつ病は周囲の体面を気にして、情緒的な症状を訴える代わりに体の痛みを訴える。慢性疼痛は、うつ病を治療で寛解するのがこの考えの基礎。2.慢性疼痛がうつ病を誘発する、という考えがある。慢性疼痛の管理でこのうつ病が改善されるのがこの考えの基礎になっている。3.慢性疼痛とうつ病は、共通した病理の違った表現形である。という考えがある。慢性疼痛は、うつ病の亜型であると考え、うつ病を誘発しやすい人は、慢性疼痛を誘発し、慢性疼痛の多くが抗うつ剤で治るのがこの考えの基礎になっている。
![]() |
![]() |
| くいしばり等の過重が円板の後部肥厚帯を平坦化するとCondyleも平坦される。Retrodiscal Tissueは、通常は、血管や神経で満たされているので、その部分に機能圧が加わると疼痛を訴える。 | |
痛みが慢性化すると、長い治療で精神的に影響され疼痛が限局性ではなく、他の部位にも広がる。スプリントや投薬されていると脳は、それを認識し、放出される自己麻薬物質であるエンドルフィンが放出されなくなり、体が産出する自己麻薬物質では補えない状態になってしまう。しかし、疼痛が持続するので、多量の鎮痛薬に頼るしかないので、良い抗炎症剤に置換し、最後には、投薬をやめなければならない。 慢性疼痛に対し、は現状分析(どうなっているか)原因追求(どいうしてか)対策樹立(どうしたらよいか)予後推定(どうなるか)可能性(何が出来るか)の認識が必要になる。穀物を作る農耕は、8000年前、西南アジアで始まった。農耕によって、小麦のエネルギーとタンパク質を供給するが、狩猟時代のビタミン、微量元素を不足することになった。食事にビタミンCが少なくなると、壊血病の症状、歯周病、顎関節症、だるさ、うつ病の症状が始まった。農耕によって、1つの作物に頼った結果、ビタミン、ミネラル不足、さらなる顎の退化、骨関節炎を生じるようになった。
![]() |
![]() |
| 野生の稲は、湿地に生えるが、水が枯れると種をつける性質があることを見つけた先祖は、農耕を始めたため、不正咬合、顎関節症を被るようになtた。 | |
![]() |
![]() |
| 穀物の粉ひきが始まった時期と腰痛が始まった時期が一致 | 1つの作物に頼った為、ビタミン、ミネラル不足して顎が退化した |
Cervical(頸椎)
頚椎の筋肉は、頚椎の神経を通して分節的に支配されている。発痛点の関連痛パターンは,後頭部から首、肩にかけてで、c6.c7の神経支配を見ていくまでに,肩の上部にまで関連痛パターンが広がる。関節の障害の関連痛のパタ-ンと、筋肉損傷と筋膜性発痛点の関連痛パターンは重複する。鑑別診断は,筋肉内発痛点の発見である。発痛点を圧迫したり,局所麻酔注射を行い,発痛点の関連痛パターンが変わったかを確認する。もしそのパタ-ンが残こり、突っ張ったスジが消え、発痛点が消えているならば、その関連痛パタ-ンに、関節が起因している可能性がある。関連痛パターンを生ずるものに、脊椎椎間関節、椎間板の破壊もある。
![]() |
![]() |
C4,C5 Space Close |
Nerve Impingement |
![]() |
C4,C5 Space Close |
OA(骨関節炎)
骨関節炎が片側性の場合、下顎が偏位して臼歯部クロスバイトになる。痛みが酷い場合、関節後方の血管、神経が圧迫されている骨関節炎の初期症状であると診断される。
顆頭をすり減らし、面積を大きくして動かさないで安定を保とうとする。そのため、逆に問題のないはずの健側の方がHypermobilityになり、疼痛が移動するようになる。
![]() |
![]() |
OA成立過程 |
Flattening |
![]() |
Bird Beak |
![]() |
![]() |
骨関節炎側:Deep Anti Gonial Noting |
偏位側にDeep Anti Gonial Noting出現 |
![]() |
![]() |
OA成立過程 |
|
ビタミンDは、カルシウムを小腸から血液に移動させるのであるが、ビタミンD不足して血中カルシウムが減少すると副甲状腺ホルモンが分泌され、骨中カルシウムが血中に溶出し、血中カルシウムが増加し、骨中カルシウムが減少して骨関節炎に罹患することがある。
![]() |
![]() |
| 患側顆頭は後ろ向きに尖がる | 健側の顆頭は通常、頚部が幅広く、垂直向きで丸い形態 |
骨の成長には、カルシウムを吸収して骨組織の中に取り込む必要がある。腸でカルシウムを吸収するにも、血液から骨に移すにもビタミンDが必要である。成長期にビタミンDが不足すると骨の発育が損なわれ、顎関節症に罹患しやすく、ひどい場合は、クル病を発病し、やわらかく曲がりやすい骨になってしまう。成人でも、骨組織は、分解と新生を繰り返しているので、ビタミンDが欠乏すると、骨関節炎、歯周病、ひどい場合は、骨軟化症になり、背骨が体重でつぶれ、脚が曲がったりする。20世紀初頭、ロンドン病、あるいは、イギリス病として、大気汚染が進んだロンドンで、脚が曲がったり、頭や胸が変形した子供が出現した。
![]() |
![]() |
OA? |
|
破骨細胞が骨を破壊し、骨芽細胞がその部を骨で埋めていく。リモデリングは、破骨細胞、あるいは、骨芽細胞の機能のどちらかが強いか、弱いかである。カップリングとは、破骨細胞によって骨破壊されると、破壊された骨の成分の何かが信号になって骨芽細胞に伝達されることである。一方が機能する時と他方も働き、一方が働かない時は他方の機能も弱まるのである。破骨細胞と骨芽細胞の機能は全身を回るホルモン、成長因子・サイトカインと骨に負荷されて発生する電位によって調節される。
破骨細胞の機能を高め、その数を増加させるのが副甲状腺ホルモンである。サイトカイン・インターロイキン-1(IL-1)、インターロイキン6(IL-6)、腫瘍壊死因子のプロスタグランディンの一種・プロスタグランディンE2は、近くの細胞に働きパラクリンの作用によって破骨細胞の機能を高め、骨吸収を誘発する。インターロイキン-4は骨吸収を抑制する。カルシウムと活性型ビタミンD、エストロゲンを服用すると、副甲状腺ホルモンが分泌されなくなり、破骨細胞による骨吸収が抑制される。 骨は破骨細胞と骨芽細胞によって代謝が行われている。破骨細胞は、古い傷ついた骨を破壊し、骨芽細胞は破骨細胞が破壊した骨を再生させるなんらかの原因で破骨細胞の破壊に対し、骨芽細胞の修復が遅れると骨が減っていくことが関節では骨関節炎である。破骨細胞の働きを抑制するのが骨疾患の予防につながることになる。 破骨前駆細胞が破骨細胞に成長し骨を破壊する。破骨前駆細胞は、血液の中にある幹細胞から形成される。破骨前駆細胞は血管から骨の表面に移動する。血管の中を破骨前駆細胞が血流に乗って移動しているが、1部が骨の組織に移動し、骨芽細胞が出す破骨細胞に成熟するべく指令を待っている。骨芽細胞と破骨前駆細胞が接触するようになると、司令を受けることができなかった破骨前駆細胞は血管に戻るという、必要以上に破骨細胞ができないような仕組みがあるが、作られすぎると、問題が生じる。破骨前駆細胞の時に血管に戻せば、破骨細胞にならずにすむ。阪大の石井優のチームは、破骨前駆細胞を血管に戻す物質を発見した。
脂質の1種が骨にある破骨前駆細胞の表面にある受容体と結合して血管に戻れという指令を出し血管に戻す。閉経後骨粗しょう症は、閉経後に女性ホルモンが減少し、骨代謝バランスが崩壊し、10年間に10%骨が減少する。70歳以上は、半数以上が骨粗鬆症に罹患する。女性ホルモンは骨芽細胞に働いて、骨形成、骨吸収に関わるが破骨細胞に関わっているかは、判っていなかった。東大、加藤茂明教授は、破骨細胞の女性ホルモンの受容体がないマウスを作り、骨の様子を調べ、受容体ないマウスは、骨に空洞ができ、骨密度が低く、骨粗鬆症の症状ができていた。破骨細胞が多くなっていることを見つけた。
頚頭蓋撮影法は、Lateral Pole:外側極しか像が出ないから無意味と云われている。病変、機能的変化は、内側極にも出現するので、Submemental:軸位によって、Conydlyの傾斜角を知り、補正する必要がある。Rickettsによると、平均値は20°としているが、5-85°のばらつきがある。


Anterior Bending(顆頭の前方屈曲)
顆頭が前方に屈曲している。Condyleの後方偏位に対して、前方位を維持しようとする生理学的反応と考えられる。

Hyper Mobility
顔が短い人は、えらが張り、下顎骨下縁が平坦になる。食いしばりする傾向があり、咬筋肥大し筋痛に罹患しがちである。頚椎は逆カーブする傾向がある。長顔型の人は、関節がHypermobility Tendency:顎の過剰可動傾向が見られる。女性の方がこの傾向が強く、この過運動が原因で、TMD:顎関節疾患に罹患しがちになる。妊娠中の女性は、出産の為、可動性が上がる。好発年齢は、32歳とされているが、性腺刺激ホルモンが分泌される12-17歳の思春期の女性に発症し易い。骨関節炎に被ると、その側の顆頭をすり減らし、面積を大きくして動かさないで安定を保とうとする。 そのため、健側がHypermobilityになり、疼痛が移動するようになることが多い。
MRI
T1:脂肪を見る
T2:Mode T2は水分を見る。Edema:浮腫、滲出液等の水分を見る時に使用する
撮影を依頼する場合 通常の撮影:通常はT1 Modeで依頼する
T 1 Mode
1/T 1で最も白く写る(1番輝いて写る部分)のは、脂肪である 。2/次に、輝いて写るのが、Condyleである,健康状態にあるCondyleは明るく撮影される 。3/次に明るく撮影されるのは、Bilamina Zone(Retro Discal Tissue円板後部組織)。4/Disk,次に明るく写る。5/Cortical Bone:真っ黒に撮影される:Condyleを黒く取り巻くのは、骨の最表層である。
![]() |
![]() |
OCD? |
|
![]() |
![]() |
AVN? |
|
![]() |
![]() |
AVN? |
|
RA(Rheumatoid Arthritis、リューマチ性骨関節炎)
指の第1、2関節が肥大し、握手してその関節に疼痛が伴う場合、変形性関節炎に罹患している。その場合、顎関節に波及し骨関節炎をきたしている。顎関節に捻髪音や関節痛があれば、顎関節に骨性の変化を来し、骨関節炎ということになる。骨関節の症状は、指先の末端に近い2つの関節のみに出現する。相手の手をしっかり,握手するようであれば,関節炎ではないかもしれない。手のこぶしや手首の骨、足では、足のこぶしから下迄、骨が肥大し、その箇所に疼痛が出現する場合、リューマチ性骨関節炎であるかもしれない。顎関節の顆頭が、りんごをかじった状態の様になり、下顎が後退し、前歯部開口になり、口を開けることが困難になっている。 食事、話した時、耳介前方に下顎を移動した時に、疼痛が出現すれば、骨関節炎が疑われる。肉は痛く、柔らかい米はそんなに痛くなく、疼痛のレベル、食物の硬さに比例する。もし、食物の硬さ、噛む強さ、顎の運動と疼痛が相関していないのなら、骨関節炎ではなく、顆頭の機能障害が考えられる。骨関節炎は、通常、片側性であるので、顎偏位、臼歯部側方クロスバイトになって顎がずれてきたと言って来院することが多い。又、リューマチ性骨関節炎の場合は、両側性である事が多いので、オープンバイトになって来院する。




Joint Sound
気圧の変化で、耳が詰まった感じをうけると、あくび、つばを飲んでその不快感を解消する。そうすることで鼓膜張筋が伸展して、ユースタッキー管が開き、空気が入り、中耳の圧力が調整されるからである。鼓膜張筋は、ユースタッキー管の繋がり、この鼓膜張筋の収縮によってユースタッキー管を開く。しかし、食いしばり等で、咬筋が緊張すると三叉神経運動枝を刺激し、これが、口蓋帆聴筋、鼓膜聴筋が緊張すると、ユースタッキイ管が開かなくなる。鼓膜張筋が収縮すると、連絡している槌骨とそれに付着している鼓膜も収縮してクリッキング音を発生させる耳下顎症候群を誘発する。治療は、前歯誘導を与えたスプリントと頚部のエクササイズで解消する。 中耳炎に罹患すると耳珠を押すと痛がる。中耳炎に罹患すると、罹患側に圧迫が生じ、耳の軟骨、関節が前方に移動する。罹患側にOpen Biteが生じ、反対側の健側がHyper Occlusonになり、咬頭干渉が生じる。もし、咬頭干渉している歯牙を削合すると、炎症が治った時に、開口を作ることになり、今度は、その反対側を削合しなければならなくなり、咬合高径を失い、前歯が当たりだし、本当の円板前方偏位、さらに、相反性クリックを医原的に作ることになる。原因は、炎症であり、耳管がアルカリ性になると、細菌が繁殖し、炎症を来すので、酸性溶液で耳管を洗浄して、酸性にする必要がある。

Okesonは、関節雑音を歯科医の術者が耳の中に指を入れて聞くことが出来ないことを実証した。顆頭内側は、耳管と関節の間には、骨が介在しているが顆頭外側は、関節と耳管との間に骨が無く軟骨が存在しているので、指を挿入したことによって、軟骨が偏位し、不自然な状態になり、クリック音が発生することになる。 クリック音の最大の原因も低位舌である.普段,口を閉じている人は,口蓋に舌が付けられているので開口当初,顆頭はヒンジ運動し,開口距離の約40mmでクレストの前方に来るだけである.しかし,開口している人は,低位舌が見られ,下顎を動かすと顎がすぐに滑走運動を始め,40mmの開口でクレストを超えてしまい,クリック音が生じる.低位舌の人は,開口時の回転と滑走のタイミングを変えて約1/3の人にクリッキング音を生じさせている.乳児のクリックは乳首に吸いつくために下顎が前方で出し,顎の開口運動と前方運動は同じ動きをしてクリックを発生させる。


Osteopyte(骨関節症)
閉口において、閉口が始まった時点でClickingが生じるのは、Crest of the Eminenceを通過した時のSoundである。骨棘がある場合、顆頭が通過する同じ部分でClicking Soundが生じる。 骨棘:Eminenceのでっぱりがある場合、このこぶを通過する度に、Click音が生じる。この場合、Opening、Closingも全く同じ位置で、Clickが生じることになる。
関節雑音のセルフコントロール
普段,口を閉じている人は,口蓋に舌が付けられているので開口当初,顆頭はヒンジ運動をするのでクリック音が生じない.舌を口蓋に接触させた状態で,下顎骨を前突させずに開閉運動を行うタングアップエクササイズを指導することでクリック音を消失させることが可能になる。
低位舌は、顎に生じるクリック音(ぽきっと音がする)の最大の原因で、通常、顆頭は、開口が40mmでクレストの前方に来るだけであるが、低位舌の場合、下顎を動かすと顎がすぐに滑走運動を始め、40mmの開口でクレストを超えてしまい、クリック音を生じさせる。 このように、低位舌は、開口時の回転と滑走のタイミングが変えて、人口の約1/3の人にクリッキング音を生じさせる。 乳児のクリックは乳首に吸いつくために、下顎が前方で出しOpenningとProtrusiveは同じ動きをしてクリックを発生させる。
![]() |
![]() |
Displaced Disk(関節円板偏位)は通常、元の位置に戻らない。


Deviation(顎偏位)
臼歯が欠損すると顆頭に負荷が加わり、顎関節症を誘発するという説があるが間違いでこれも食いしばりなどの異常機能が問題を誘発している。臼歯部が欠損すると前方で咀嚼し、顎は前方偏位する。一側の臼歯、例えば右側の臼歯部が欠損している場合、左側で食物を噛む為に、疼痛は左側に出現する。


顎が右側偏位する為には、舌骨が右側に偏位することによって達成される。舌骨を偏位させるのが、喉頭の筋肉であり、右側偏位は、右側の舌骨上筋、下筋群が緊張、収縮し、舌骨が右側に偏位することによって達成される。特に、右側のDygastic Mustleの恒久的な活動によって、矢状面での偏位が生じる。喉頭には、発音器官が存在し、舌骨の位置は発生に関与し、偏位によって、喉頭筋の緊張が持続されれば、構音に問題が発生する。
Diagnosis(診断)
スプリントの使用、バッファリンなどの鎮痛剤に効けば筋骨格系の疼痛であり、効かなければ非骨格性ということになる。 筋骨格系の開口障害は、動かさないようにする生体が行う生体防御機構である。 夕方に顎が痛くなる原因はくいしばりで、朝、起きた時に痛くなるとしたら、歯軋りが原因している。くいしばりすることによって関節の中に入っている円板が癒着し、口が開きづらくなることがある。くいしばりすることによって、咬筋浅部の起始部や側頭筋に痛みが出現する。自分で引き起こしている問題で、口腔習慣、悪い姿勢、ストレス、不適切な運動が誘発する。90%は慢性疼痛に至る。歯医者は、触診によって圧痛で筋肉短縮を知る。前歯のかみ合わせが浅いことが原因している場合もある。その場合、歯の磨耗が出来ている。 顎が痛いという患者さんの診断で大切なのは、原始的な問診、視診、触診である。聞いて、見て、触らなければ、問題部位は判明するわけがない。頬骨弓直下の咬筋浅部の起始部が触られると痛がれば、長期にわたって直角方向にくいしばりをしていることになる。右側の外側翼突筋が触られて痛がれば、左側方向にくいしばり、あるいは、歯軋りしていることになる。それは、左側運動は、右側の外側翼突筋の緊張によって行われるからである。くいしばりは関節よりも筋肉に影響するので、筋肉が痛がり、歯軋りは、逆に筋肉よりも関節に波及し、関節に器質的変化を誘発する。 患者さんの一側の上顎犬歯を人差し指で押さえ、その指の方に顎を動かして上下の犬歯同士を接触させて貰う。上下の犬歯が接触しない場合、反対側の臼歯が接触する平衡側に接触、あるいは干渉があることになる。犬歯に磨耗が出現し、その側に下顎を移動すると、平衡側接触: Balancing Contactが生じるが、その側に骨関節炎による骨変化、それによる関節雑音であるクレピタスがある場合、平衡側接触が、その関節を保護している。平衡側接触削ると、関節に加重が加わる。動かした側の作業側に犬歯の咬耗があれば、犬歯を修復して補うべきである。犬歯を修復しても存在している平衡側干渉:Balancing Interference除去しなければならない。
Guidance
顎を側方に顎を動かそうとすると、子供は第1大臼歯で顎の側方に誘導する。その誘導は、年齢と共に、前方に移動し、犬歯で誘導するようになる。小臼歯、大臼歯は、頬舌方向に、犬歯は45°方向に、4前歯は前後方向に抵抗するように、形態が作られている。Tazaki,Westosonによると、両側性犬歯誘導は、人口の2.3%以下、片側犬歯誘導は、10%以下、86%は、グループファンクションである。 Anterior Guidanceに起因するDisclusionによって、側頭筋、咬筋、内側翼突筋を弛緩する。挙上筋の弛緩は、犬歯の接触に起因するのでは無く、Disclusionに依って成就されるAnterior Guidanceが無いと、顆頭に圧が加わり、Uneven Occlusal Surfaceが出現する。側方運動で、多くの接触があると、筋活性が大きくなる。歯牙の咬耗が進むと、運動範囲が増える。咬耗が進むと、歯牙と顎関節の安定性が失われる。 Closing Force:閉口力は前上方に向かう。磨耗しClosure Stopperが無いと下顎は前方移動し、前歯部をすり減らす。 そして切端咬合に発展する。CR(中心位)はもっと後退する。前歯の舌側に磨耗があるなら、Horizontal Overlap:水平被蓋が足りない事を示す
4D
どのような痛み方をするのか、必発的特徴を把握する必要がある。Duration:どの位の期間痛いのか?何時間くらい持続するのか?消えると全く無症状でいるのか?何時始まり、何時生じるのか?朝か夜か?Degree:どの位痛いのか?ぶり返すのか?痛みの軽減、あるいは、ひどくなったものに何かあるか?Distribution:痛みは、両側、片側か?ストレス、不安、緊張がないか?風邪、外傷、鞭打ちはないか?高血圧はないか?薬を飲んでいないか? 顎関節症は、歯の痛みが関係する場合と顎関節が関係する場合、そして、全身から由来して顎が痛くなる場合がある。歯の痛みに関連する場合は、通常の歯科治療で問題は解決される。顎関節が関係する場合は、構成する顎や頚部の筋肉や靭帯、後部の神経が痛みを齎す。全身から由来する場合、問題のある箇所の情報が視床下部に伝達され、大脳皮質は、その情報をその部位の痛みと認識する場合と他の部位と認識する場合がある。その痛みは、その神経から遠隔の部位で感じたり、その神経とは別の神経が支配する部位で感じられたりすることがある。 顎関節症は、歯の痛みが関係する場合と顎関節が関係する場合、そして、全身から由来して顎が痛くなる場合がある。歯の痛みに関連する場合は、通常の歯科治療で問題は解決される。顎関節が関係する場合は、構成する顎や頚部の筋肉や靭帯、後部の神経が痛みを齎す。全身から由来する場合、問題のある箇所の情報が視床下部に伝達され、大脳皮質は、その情報をその部位の痛みと認識する場合と他の部位と認識する場合がある。その痛みは、その神経から遠隔の部位で感じたり、その神経とは別の神経が支配する部位で感じられたりする。 顎関節に起因しない顎関節症ではない顔の痛みには、1.原発痛と2.異所痛がある。1.原発痛は、痛みの発生源と痛みの感受部位が同じ部位にある痛みで、2.異所痛は、発生源と感受部位が異なる痛みで顔の痛みは異所痛であることが多い。 顎関節が関与しない顎関節症ではない顔面に感じられる痛みは、1.原発痛と2.異所痛がある。2.異所痛は、1.原発痛と異なり、痛み発生源と感受部位が異なる。顔の領域の痛みに多い。頚部が連続的な侵害受容入力を行うと脳幹が連続的に中枢性の興奮を起こして2次ニューロンが感作される。感作が更新すると情報処理のプロセスに変更が生じる。中枢性興奮作用に求心性ニューロン(感覚ニューロン)、遠心性ニューロン(運動ニューロン)、自律神経ニューロンの内、どのニューロンが関与しているかによって、疼痛の症状は異なる。異所痛は、1.中枢性疼痛(Center of Pain)、2.投影痛(Projected Pain)、3.関連痛(Referred Pain)がある。
Diagnosis
診断は、1.どうなっているか(現状分析)2.どうしてか(原因追求)3.どうしたらよいか(対策樹立)4.どうなるか(予後推定)5.何が出来るか(可能性)である。 Cervical Muscle(頚部筋)
後頭部の頭痛に関する訴えの大部分が、頚板状筋,頭板状筋,頭半棘筋と関連する。関連痛は、頭をつきぬけて目の上、周囲、目の奥にまで広がる。
SCM(胸鎖乳突筋)
胸鎖乳突筋は、頭痛がある場合、触診が重要になる。SCMは、胸骨と,鎖骨に起始し、乳様突起に付着している。この筋肉は側頭部や,前頭部の関連痛を生み、頭の反対側や後頭部の関連痛を生じる。触診は、緊張していない状態にして行い、胸鎖乳突筋に突っ張ったスジがあったとしても、動きの制限はあまりなく、あってもごくわずかである。触診したとき、この痛みが何時も感じている痛みか、そうでないのか、あるいは、別の場所に何か感じるところはあるか、この圧痛が圧迫に関連する感覚でないことを鑑別しなければならない。 頭痛がある場合、胸鎖乳突筋は検査しなければならない重要な筋肉で、胸鎖乳突筋が関与する目の回りに頭痛を誘発する。胸鎖乳突筋は、頭痛を起こすだけでなく,群発頭痛時にみられるような涙を流させる。目を引きつらせることもある。そして,典型的な群発頭痛のある、あるいは、群発頭痛を再現する発痛点を確認できる場合、発痛点の治療を行うことによって、連続して繰り返し起こる群発頭痛を治す可能性がある。胸鎖乳突筋による頭痛の典型的な関連痛パターンは、まぶたの上から目尻まで広がる群発頭痛に似る。頭痛は、胸鎖乳突筋の胸骨頭によるもので、目の上だけではなく、後頭部と頭頂部,側頭部にも誘発する。 胸鎖乳突筋を刺激すると、下方のSCMの付着部、上耳介の後方、耳の中、オトガイ、額、額と目の間、頭頂に関連痛が生じる。
頚板状筋
頚板状筋は、頚椎の外側部の下方に存在し、胸椎の上部から起始し、斜めに胸郭に停止する。C2,C3の外側の横突起の付着部を触診すると疼痛が誘発され、関連痛でなければ、潜在性の発痛点として分類され、偏頭痛や慢性的緊張型頭痛を誘発する。
頭半棘筋(Semispinalis Capitis)
頭蓋底の方にさらに進めていくと,頭板状筋があり、 内側に触っていくと頚椎の来るがスジはない。その外側へたどっていくと頭半棘筋にふれ、突っ張ったスジがあり、ピンと張ったゴムのようで,後頭骨隆起の直下から走行している。 大後頭神経が、頭半棘筋を貫通し,後頭孔を通り抜けて、後頭部にくる。頭半棘筋が大後頭神経が圧迫するとその神経領域に疼痛が生じ、後頭部で慢性頭痛の原因となる。治療は、大後頭神経の切除や後頭孔における大後頭神経ブロック、頭半棘筋の中の発痛点の除去をすることである。 頭半棘筋の中の発痛点を除去したならば,大後頭神経の圧力は取り除かれ,大後頭神経の絞扼による痛みが消失する。注射は後頭骨神経そのものよりも、むしろ筋肉内に注射する。この首の後ろの,頚板状筋,頭板状筋,頭半棘筋の3つの筋肉と胸鎖乳突筋が慢性緊張型頭痛や,慢性偏頭痛の主な原因となる。
僧帽筋(Trapezius)
Travelは、僧帽筋を刺激すると、肩の上、頚部、こめかみ、下顎偶角に関連痛を起こすことを見つけた。僧帽筋に発痛点は慢性的な頭痛と首の痛みを繰り返す。首と肩の境目,の僧帽筋の上部の発痛点の検査は,患者さんの腕を支えて、リラックスさせ、患頭を動かして,緊張を増やしたり,減らし、手のひらを使って僧帽筋を触診する。僧帽筋の間連痛は、首の後ろの方へ 行くものと、肩の方にいくものがある。筋スパズムは,大腿打撲のときのように、肉全体が堅く、収縮していることをいい、一方,発痛点は筋肉内の突っ張ったスジで 構成される。発痛点の診断は手による診断である。指で,筋肉をつまんではさむ方法で、突っ張ったスジを 触れる。痛みはどこに放散するか問診するこの領域の発痛点は、首の後ろと横に痛みを発生させる。 僧帽筋は、2つの筋肉の関連痛Patternがある1つは、典型的に首の後方にいくもの、もう1つは、肩に行くものがある。 慢性頭痛と首に疼痛を繰り返す人は、僧帽筋に圧痛点が見つかることが多い。
Parafunction Treat
タイマーを15分にセットしブザーが鳴ったら顎位を認識するように指示する。もし、15分のセットで歯牙が接触しなくなったら、30分に伸ばす。習癖を改善するには3週間が必要であり、これが終了してから2期治療に入るべきである。問題を認識させライフスタイルを変え、適応する方法を指導する。適応することができないと、症状が再発することになる。行動指導として、ガムは食いしばりを誘発するので、控えてもらう。開口障害に対し、硬いものを食べたり、りんごのまるかじりを控えてもらう。ハンバーガーを食べる場合は、つぶしてから食べるように指示する。 問題がくいしばりにあるということを認知しようとしない場合、習慣的に、下顎を機能域外に牽引し、その偏位させた状態でくいしばりさせ、そのことによる疼痛である事を認知させ、くいしばししないようにセルフマネージメントする。セルフコントロールできない場合は、フルバランスドスプリントを装着してもらう。改善が認められなれば、前歯のテーブルを付加し、臼歯のコンタクトを除去する。それでも改善されなければ、不摂生な生活を送りライフスタイルを変え様としない人格に問題、あるいは、慢性疼痛、顎内障の問題が生じているかもしれない。臨床心理士、精神化医に紹介してくいしばりを軽減してもらうか、内科医に投薬してもらう必要がある。
咬耗(Wear)
歯牙の咬耗は、3つの段階で起きる。1.最初は、上下歯牙が強く当たる早期接触のところから始まる。2.次は、滑走が終了した箇所に出現する。3.最後はその途中も磨り減って来る。求心性の運動することによって、磨り減るのである。以前は、磨耗は上下の歯牙の干渉が原因だと考えられていたが、正常でも磨耗し、防御機構が働かない夜間に起きるものである。咬耗していた方が咀嚼の能率が良いので、咬耗側に咀嚼側である。咬耗側で偏咀嚼、つまり片噛みしていると、その咀嚼側の顎関節への過重があり、関節症や異常機能を起こし得るようになる。
呼吸法
緊張している時、不安状態にある時、胸筋を使用し胸郭の運動による呼吸をしている。筋緊張、筋疼痛改善に行われる腹式呼吸は、横隔膜を上下させる呼吸法で、プロスタグランディンの分泌が促進され、活性酸素を消去し、血管を拡張し血流を良くする為、頭痛、顎関節症、筋緊張性疼痛等の治療に使用される。腹式呼吸法は、鼻から吸引する腹を意識し、膨張の限界に達したら、呼吸を停止し、出来るだけ、息を止めておいて、限界に達したら、腹を凹ましながら、20秒位かけてゆっくり口から出す。
Thermotherapy
筋肉が過使用や食いしばりなどのパラファンクションによって、局在性の筋肉の疲労や疼痛を誘発する。この場合は、物理療法として暖めてもよい。さらに、筋肉を使用し続けたりしていると、今度は使用を止めても筋肉の緊張が持続し、弛緩しないので、筋肉が緊張を続けて筋肉の短縮、スパズムが生じる。血流は、動脈から入って、静脈に出て行くのであるが、スパズムが生じていると、静脈に出ていかない状態になってしまう。この場合、筋肉を暖めると更に、血液が増加し、出て行かなくなるので、スパズムを起こしているような場合は冷却しなければならない
筋骨格系
筋骨格系は、ストレスマネージメント、リラクゼーション、エクササイズ、行動療法、あるいは、心理療法に反応する。緊張型であるので、セルフマネージメントで予防可能である。 筋骨格系の痛みは、スプリント、冷却、鎮痛剤、非ステロイド系の抗炎症剤の投薬に反応する。冷凍食品などの冷たいものを当てると、15秒位冷やして直らないのであれば、頚部や肩からの関連痛かもしれない。 下顎前歯は、固有感覚機構が発達し外傷が加わらない様に下顎が動く。強く下顎前歯を上顎前歯に当ると、関節を支えている円板がずれる。親指を上顎前歯に当て、顎を前に出して貰い、2本の上顎中切歯が下顎の4本前歯と接触して前歯誘導が起こることを確認する。もし、前歯誘導がないと臼歯に咬耗が出現する。切端咬合はチョッパータイプであるので前歯の誘導は不要である。上顎前歯舌側の平坦な面以外の下顎前歯の接触は、側方圧となるので、平坦な面に下顎前歯の先端が軽く接触するようにVertical Stopを付与する必要がある。前歯しか残存していなかったら、前歯を全部連結して、舌側の棚を作成して、歯軸方向に圧が加わるようにする。 クロージャーストッパーの欠如は、前歯をすり減らし、切端咬合にする。骨関節炎によって、顆頭の先端が磨耗し、筋肉が、窩の中に顆頭を押し込められてしまい開口にする。
Placebo:Treatment
治療者を信頼しているとちょっと歯をいじったでけでも、偽薬反応、プラシーボ反応が生じ、症状が改善されることは、プラシーボ効果と言われている。プラシーボ効果で疼痛が軽減している患者は疼痛除去作用を有するエンドルフィンレベルの上昇、免疫細胞の機能向上すら見られる。治療者の態度や言葉に計り知れない生理的反応を及ぼす。治療者の楽観的態度や希望的観測が患者さんの治療に対する意欲を増大させる。つまり治療者の思考、行動、態度は、患者さんの物の見方の改善、統制力の強化は苦痛軽減を促す。治療は性質だけでなく、治療者の態度、治療に対する信頼感、治療者と患者との間に存在するカルマ(因縁)関係に依存する。 実際のプラシーボは35%の効果が働いている。偽薬をビタミンCだと信じていた人は風邪の罹患率が低く、偽薬と知っていた方が風邪の罹患率が高くなる。又、新薬を投与するとよくなることがよくあるのは、新薬の効果を期待した治療者の情熱が患者の希望的観測を動かし、プラシーボ効果を誘発したのであると考えられる。治療者自らが、スプリント、あるいは物理療法であっても、その治療法に情熱を示せば症状の改善が上がる。結果を期待する方が一時的でも効果が上がり期待は生理学的、心理的変化を誘発する。肯定的な情報を耳にしている患者さんに治療を行うと効果が出るが、それが否定的な情報を信じ不安をあおられてしまうと、さらにひどくなる。 ラザーナは、ロールシャッハ投影法で心理検査を行い、プラシーボが効く人と効かない人の性格的差異を示した。 治療前に感じていた疼痛を10点とし、偽薬の投薬、あるいは食塩水注射で8点になり、投薬、鎮痛剤などの注射で、3点に減少したとすると投薬や注射の効果は、8-3=5点になる。投薬や注射で5点以上減少した場合は、投薬は、有効と判断される。偽薬や食塩水の注射のみで、疼痛が大きく減少する場合は、心理的な因子が強いと考えられる CBT(Cognitive Behavior Therapy)
スキナーは、行動理論:学習理論から人間に迫り、学習には、レスポンドとオペラントがあり、レスポンド学習とは、刺激:長期の不安に晒され、自律神経反応;血圧が上昇することである。その時、歯科治療を受けていたとすると、治療に対する不安等の情動が植えつけられ、自律神経反応するというように学習する。オペラント学習とは、ある行動が強化刺激(報酬、罰)を随伴した場合、行動が自発的に繰り返されることで、顎が痛くなった時、過保護な母親が、心配してやさしくされた経験があると、食いしばって、ちょっとしただけでも痛いと感じるようオペラント学習することである。行動療法は、この学習理論に支えられてきた。 自動思考は、身についてしまって自動的に出てしまうので否定的な思考ことをいう。認知療法は、歪んだ認知, 歪んでいる認知の仕方、否定的な自動思考を正そうとする。誤った学習によって、身についた行動は、学習しなおすことができる、という行動主義の学習理論にもとづいて、神経症、鬱、無気力量も学習された不適応な行動とみなし、適応的な行動に矯正していく方法がとられる。書いて貰う3つの欄がある。1.自動思考、2.認知の歪み、3.合理的な反応。1.自動思考:保健指導にあう、2.認知の歪み:考えすぎ、3.合理的な反応:それほどえげつなく請求しているわけでもない。 顎関節症に対するすプリント治療、薬物療法、行動療法、併用の効果を見ると、半年後は、スプリント、薬物療法、行動療法の順になる。1年後は、逆転がみられ、行動療法、薬物療法、スプリントの順になっていた。行動療法を受けた人は、指導期間を過ぎても、くいしばりを抑制しようとしていた。行動療法を取り入れた人は、前頭連合野における自己制御感、あるいは自己効力感を高めることで、くいしばりの抑制に効果がある。効果は、スプリント、薬のせいだと受け止め、効果は、自己制御によるものではないと考える。体を使えって行動することは、自己制御感を強めて、くいしばりに効果が出現する。 デビット D.バーンズは、1.状況、2. 不快な感情、3. 自動思考、4. 合理的反応、5. 結果を記述させる。1.状況-不快感を感じた時の状況を書く。2.不快な感情-感情を挙げ、感じた強さを書き込む。3.自動思考-の時生じた自働思考を書く。4.合理的反応-自動思考に代わる合理的な考え方を書く。5.結果-初めての感情と自動思考を改めて、どの位の強さで感じるかを書き込む。認知療法は、考え方の訓練で、合理的思考ができるようにする。こうに決まっていると思ったら、その証拠はあるのか、それがどうした、と自答する。認知療法は、1回45-50分面談を週1回、12-20週(3-5)か月行い、治療を終了することを目的としている。 患者教育の成否、Judis Komakiによると、指示の出し方が異なる。指示を出すだけでは行動の改善が見られない場合は、実行しやすいような指示を出すように心がけるべきであると主張した。具体的指示、歯磨きしましょうと抽象的なことを言うのではなく、10分間、上下の歯が接触していないことを確認しましょうと具体的な指示を出した方が行動実行され易い。Shaping:達成可能な目標を設定し、達成したら少しづつ引き上げると最終目標に達成しやすい。高い目標を押し付けて挫折させるより、少しずつ目標を達成させ、達成感を味あわせながら最終目標に到達させることをシャーピングといわれている。 Judis Komakiは有能な指導者の指示の出し方とそうでない指示の出し方の違いに着目した。指示を出すだけでは、行動の改善は見られないとしても、相手が行動しやすい指示を出すように心がけるのが指導者。患者教育はしやすい指示を出せるのが、よい歯科医。結果に原因が存在するなら、その原因に対処し、望ましい方向に変えるように指導する必要がある。しかしながら、患者さんはその指示を決して守らないとしたら、患者さん、指導する歯科医、衛生士の方、あるいは、両者に問題があることになる。その原因に、両者の知識不足、医学モデルなどが考えられる。 行動が強化される時に、行動の直後に出現したものは、強化因である。行動が強化される時に、行動の直後に消失するものは、負の強化因である。行動の直後に負の強化因が消失すると、その行動は将来繰り返される。スプリントを入れるようになり、疼痛が無くなれば、スプリントを入れるという行動の直後に疼痛緩和という強化因が出現したことになる。スプリントを装着することによって、疼痛という嫌な因子、負の強化因が消失すると、その行動は将来、繰り返される。嫌なものに目をそらす行動は、負の強化因の消失によって、強化される。 くいしばりが始まったり、治まったりするその反復性は、行動直後の「強化因の出現」や「負の強化因の消失」によって強化されるからである。たとえば、くいしばりは、くいしばっていらいらという「負の強化因の消失」、満足という「強化因の出現」によって強化される。疼痛が出現し、くいしばりを止めることによって、疼痛という「負の強化因の消失」、疼痛緩和という「強化因の出現」によってくいしばりが消失したりして反復する。強化因で行動を制御する場合、強化因が出現しなくても、行動が維持されやすい。負の強化因で行動を制御する場合、強化因を与え続けなければ行動は維持されない。止められない行動は、強化因があり、強化因をなくせば行動は止められる。これまでその口腔習癖を維持して強化因は何か?行動の原因が特定できていなければならない。くいしばりの場合、スプリントを入れると変な味がある、大きい異物が入り不快感がある、内分泌を撹乱する環境ホルモンである有害なプラスティックを長期間にわたって、口の中に入れたくないということで、食いしばりをやめたる。硬いものを噛んで、顎への痛みの出現によって、硬いもの噛む行為が弱められる。あるいは、硬いものを噛んで、顎への痛みの出現したことを教えると硬いものを噛む行為が弱められる。 行動が強化されるときに、行動の直後に出現したものが強化因であるが、行動が弱められる時に行動の直後に出現するものは負の強化因である。強化因の出現によって、行動が強化されるが、行動の直後に負の強化因の出現によって行動がしなくなる、つまり、弱められる。患者教育することによって、患者さんにとって指導されることの原因となった行動が弱められる。患者指導するということは、患者指導行動が強化されていることになる。指導されて萎縮する、ない-あるへの状況の変化で出現によって、行動が強化される。指導の行動は、強化因出現の強化と、負の強化因消失の強化の2つで強化されている。 慢性疼痛の患者さんは、重症になる程、自分を客観視できない。歯科医は、客観視させるきっかけを与える必要がある。自己コントロールの原則は、自分を客観視できるかである。人は、気分や症状にこだわらず、快適そうに、健康そうに振舞えばそうなる。らしく振舞うことによって、それ自体になっていく傾向があるのである。その人に仕事を任せることによって、その仕事に対し、責任感を持つようにさせ、自信をもって外向的になり、精神安定剤の代わりになるのだ。
Relaxation(リラクゼーション)
免疫機能を保つには、リラックスが重要であり、緊張状況下においてさえもリラクゼーションを教えられた人の免疫細胞、T細胞が増加し、リラックス状態で、ストレスホルモンであるコルチゾール、カテコールアミンが減少している。リラックスするようにという催眠暗示は、体内のコルチコステロイドのレベルを減少させ、免疫機能を向上する。自然の景色である緑や青色を見ることは、肯定的な気分を高揚させ、不安を減少させ、アルファ波の振幅を増大させる。アルファ波の高い振幅は、リラックスにつながることが判っている。木の見える病室に入院した患者の方が回復が早く、入院期間を短いことを示していた。 顎に痛みをこうむり、痛みに意識を集中させると痛みが増幅する。ストレスが、増幅して大きなストレスに仕向ける事を精神交互作用という。痛みは脊髄を経由して知覚野、脳幹にある網様体を経由して視床に伝達される。網様体と視床が軽い外傷であると判断すると疼痛の信号は、そこで止められるが、精神交互作用は網様体、視床に働きをかけて痛みが脳全体に覚醒を呼びかけ、緊張し、疼痛感覚は内臓まで緊張させるほどに広がる。リラクゼーションは、ストレスを回避することでなく、精神交互作用を解くことで、緊張している脳の網様体、視床に対し、弛緩の感覚を呼び戻そうとする。 顎関節治療に用いられている行動療法は、リラクゼーション、自律訓練等を患者に指導して、自分で治すように仕向けるのである。精神分析法の深層心理を引き出すのは困難で、症状の寛解迄に長期を有する。リラクゼーションとは、筋肉を弛緩させ、自律訓練法は、自律神経に働きかけ、ともに、交感神経優位から副交感神経優位に切り替える方法である。神経が自ら律するという意味で自律神経訓練法という。いらいらしている時、落ち着けようとすると更にいらいらするが自律神経訓練法でリラックスに持っていく。 不安や恐怖を被ると交換神経の活動が高まり、心臓機能が活発になり、エネルギーを消耗する態勢に入り、消化器系が抑制され、筋肉が緊張し、頭痛、顎関節症を被りやすくなる。逆に副交感神経が活発になると、心機能が平穏になり、消費したエネルギーが回復される為、消化器系の活動が活発になる。そのように仕向け、不安定から安定状態へと心の切り替える為にヨハネス・H・シュルツが考案した自律神経訓練法が行動療法に利用されている。これは、リラックスすることによって始めて可能になる。リラックスを知る方法は両腕をたらして、だらんとできているかである。 医者の世界に、「患者さんに話させ、話を聞いてやると奇跡が生じる」ということわざがある。ビクトル フランクルは、生きる意味を見出している人はいかなる辛苦にも耐える事が出来るが、それを喪失している人は、精神、肉体的に崩壊していくのだと考えた。彼らは、怒りや不満をはっきり云う事で、それらの情動が吐き出され、カタルシス;浄化、吐き出しが期待できるとした。近年、それだけでなく、自律神経訓練法、リラクゼーション等で不安を除去、患者から不安から脱出できるように訓練していく行動療法を併用するようになってきている。 行動療法のリラクゼーションとは、筋肉を弛緩させる事で、血圧が下げ、不眠、慢性頭痛の軽減などの効果がある。原理は、筋肉から力が抜け、リラックスすると筋紡錘;筋感覚の感度を調整するγ神経線維の興奮が減少し、筋紡錘の感度が鈍くなり、脳に伝達される上行性神経;筋肉の状態を脳に伝達する神経の興奮が減少する。すると網様体賦活系、辺縁系の興奮が減少し大脳皮質の興奮が収まり、精神的に安定する。生理的に副交感神経が賦活された平穏な状態で、心臓の鼓動が遅くなり、血圧が降下し、呼吸が遅くなる。焦り、怒り、恐れは、交感神経優位であり、随意的にリラクゼーションに入ることが出来れば、筋肉の緊張を克服することが出来る。 顎の筋肉が緊張し、疲労すると、顎に痛みを被る顎関節症に発展する。近年、顎関節症を改善するのには、自律神経訓練法やリラクゼーションなどの行動療法が取り入れられている。リラクゼーションとは、視覚、聴覚、触覚、臭覚、味覚等の外感覚や筋肉の緊張度を感じる感覚である筋感覚を減少させることである。筋感覚の減少には、目を閉じる、耳をふさぐ、室温を保ち、外感覚を遮断する。外感覚と筋感覚が減少すると脳の興奮を伝達する機構である脳幹網様体賦活系がこれを受けて興奮が減少し、全身がリラックスした情報が脳に伝達され、精神的安定が得られる。 リラクゼーションとは、筋肉がリラックスした状態を意識的に作ろうとすることである。不安が高まると交感神経が活発になると筋肉が緊張し痛みを被るが、筋肉がリラックスさせると不安も痛みも減少し顎関節症が治る。手順は、静かな室内を薄暗くし、ソファで目を閉じ、あお向けに寝て、両腕、両足の力を抜く。気持ちが落ち着いている、雑念を消していく為、リラックスしていると唱える。リラクゼーション感覚がつかめない場合は、全身に力を入れ、数秒間緊張し、その後、全身を脱力させ、リラックス感を掴む。リラックスすると手足や指の先端が膨れて、しびれや暖かく感じる。練習は、1日3回、所要時間は、10-15分、最後の1分は目を開け、起き上がる。 シェフマン、シーバートはアプリコットの臭いは筋緊張を弛緩させることをみつけた。極度に緊張性に悩んでいる患者さんに、アプリコットの香りをかがせ身体をくつろがせた。毎日繰り返していると、アプリコットの香りを嗅いだだけで、全身の緊張を弛緩させることができることをみつけた。Schiffman,S.S.& Siebelt,J.M.,1991,New frontiers in fragrance use.Cosmetics and Toiletries,106,39-45.ロベスティは、落ち込んでいる時にレモン、オレンジ、サンダルウッドの香りが効果的であることを示した。Rovesti,P.,1973,Aromatherapy and aerosols.Soap.Perfumery and Cosmetics,46,475-477.バーンは、かぐわしい微香は、気分が和らぐとした。Byrne,D.,et.al.,1976,A reinforcement model of evaluative responses.Personality and An.Int.J.,1,103-128.バディアは、ジャスミン、ピペリン(オトギリソウの香り)、クマリン(バニラの香り)の香りが頭をすっきりさせること示したBadia,P.,et.al.,1990,Responsiveness to olofactory stimuli presented in sleep.Psychology and Behavior,48,87-90.ハリソンは、睡眠が少ないと、イライラして和を大切にしなくなる傾向があるとした。Harrison,Y.et.al.,1999,One night sleep loss impairs innovate thinking and flexible decision making.Organizational Behavior and Human Decision Processes,78,128-145.免疫機能を保つには、リラックスが重要であり、緊張状況下においてさえもリラクゼーションを教えられた人の免疫細胞、T細胞が増加し、リラックス状態で、ストレスホルモンであるコルチゾール、カテコールアミンが減少している。リラックスするようにという催眠暗示は、体内のコルチコステロイドのレベルを減少させ、免疫機能を向上する。自然の景色である緑や青色を見ることは、肯定的な気分を高揚させ、不安を減少させ、アルファ波の振幅を増大させる。アルファ波の高い振幅は、リラックスにつながることが判っている。木の見える病室に入院した患者の方が回復が早く、入院期間を短いことを示していた。
Counseling(カウンセリング)
カウセリング確立したロジャーズはひたすら患者さんの語ることを傾聴し、患者さんの述べる内容よりむしろ、それに伴う感情に注意を向け、相手の感情をそのまま認めて暖かく受け入れることが大切だとした。相手の言葉を批判したり、お説教したり、議論しない、いわゆる無条件の肯定的な関心を相手に向け、共感的理解に勤めるのである。あなたは、このように感じるのですねといった形で感情の明瞭化を助け、相手の言ったことを分かり易くまとめて私はこのように理解してよいのでしょうかと相手の真意を確かめるだけなのである。ファックス博士は、ひたすら話を聞いてあげると奇跡が生じる。うまくいかなくても笑われるだけで、相手を傷つけることが無いとした。 抑制されていた欲求、攻撃心、罪悪感などの蓄積したエネルギーの為、脳にひずみが起こり、それが心身の異常を招く。行動、あるいは、言葉を通して発散する事で、抑制によって脳に蓄積されていたエネルギーが解放し、そのひずみを解消すると、病気の症状が軽減、消失するので、その現象をルーテは、自律性開放と呼んだ。各人が持っている脳の機能のペース7やテンポに対し、外部からの干渉を最小限にする事によって、脳にくすぶっていたエネルギーが開放され、脳の機能が正常化されるようにする事が、心因が関係して起こる治療の基本となり、この療法を自律性解除といわれている。
RP(関連痛)
異所痛は、1.中枢性疼痛、2.投影痛、3.関連痛に分類される。1.中枢性疼痛は、中枢系の組織から生じた痛みが抹消において感じられるもの。2.投影痛は、痛みの伝達を介在する神経と同じ神経が分布している抹消部位で感じられる痛みで三叉神経痛が典型で。痛みは三叉神経の分布に沿って出現する。3.関連痛は、痛みを伝達する神経と別の神経が支配する部位に感じられる痛みで、中枢神経系に一定で連続した深部痛の入力がある場合に中枢神経系に介在したニューロンの感作(過敏化)されて生じる。頭頚部への感覚刺激は全て1次求心性ニューロンを介在して脳幹へ伝達され、脳幹のシナプスから脊髄路核へニューロン刺激が伝達される。 関連痛は、痛みを伝えている神経と同じ神経の他の枝に良く生じる。三叉神経は、3つの枝を持ち、関連痛を頻発する。下顎神経領域に生じた疼痛が上顎神経領域で感じたり逆も生じる。下顎の虫歯等の痛覚が上顎に感じるのは、三叉神経の関連痛である。口腔顔面領域の三叉神経の関連痛パターンは5つの垂直の層で示す。三叉神経脊髄路核と感覚入力は、口腔顔面領域では垂直的なパターンとなる。分節は、脳幹における三叉神経の侵害受容終末の位置に対応しているので、前歯部の痛みは前歯部に、小臼歯部の痛みは小臼歯に、犬歯の痛みは、犬歯は犬歯、大臼歯は大臼歯に関連痛を生じる。親知らずは、耳や顎関節に関連痛を生じる。 関連痛は、歯痛が顔の筋に、顔の筋が歯に、顎が筋に、耳が顎関節に、片頭痛が歯に痛みを生じる。右側の痛みが右側に生じ、反対側に生じない。坐骨神経に疼痛刺激があれば、腰に腰椎にあれば胸部に、胸椎に痛みがあれば頚部に関連痛を生じる。痛みを伝達する神経とは別の神経が関連痛の影響を受けている時、痛みを伝達される神経は、頭側にある。侵害刺激は、下方の神経には影響しない。頚神経の疼痛発生源が三叉神経の支配する領域に影響し三叉神経の領域が疼痛感受部位になる。三叉神経に疼痛発生源がある場合、感覚神経の中で三叉神経が頭側にある為、侵害刺激は下方の神経に影響せず、頚部に疼痛は発生しない。
首のヘルニア、内臓疾患からもトリガーポイントが形成される。肩にあったトリガーポイントに麻酔を打つとあったかい感じがしてくる。筋肉の緊張が減少し弛緩し、血流が回復し、体温も改善される。麻酔は、1時間半しか効かない。交感神経が興奮しているので、それをとることによって、血行が改善される。局所麻酔薬は発痛物質を洗いながす。痛みがある、血行が悪くなる、筋肉が硬くなる、痛みがあると痛みの悪循環に陥っているので、局所麻酔薬で一瞬断ち切ることによって慢性疼痛が除去される。通常、週1回の局所麻酔を5回くらい続ける。針治療で、弱い電流を流す方法もある。
鬱病治療(Depression Treatment)
ブロッコリを食べれば、ビタミンB6が摂取され、それによってトリプトファン水酸化酵素が活性化し、アミノ酸の一種であるL-トリプトファンが形成され、気分を安定される脳内化学物質ドーパミンの合成が促進され易いという。
過蓋咬合(ClassⅡDivⅡ)
下唇には緊張があり、バンパー作用があるので、下顎前歯にテンションが加わり、歯並びに影響するが、上唇は、緊張が殆どなく、バンパー作用はない。下唇が上顎切歯切端よりも、3~6mm上方に来る。下唇が上方に上がり過ぎていると過蓋咬合:ディープバイトになる。成長の過程で前方に、上顎前歯が萌出してくるが、上顎前歯が、下唇の方が強力であるので、下後方に位置するようになるのである。上顎前歯を後退させる。後退した上顎前歯は、下顎骨を後退させ、関節による耳介側頭神経の圧迫を来し、疼痛を誘発する。その場合、下顎がリラックスして、前方に位置できるようにする必要がある。
臼歯部開口(Molar Open Bite)
臼歯部開口の原因は、1.耳の炎症。2.円板に顆頭が乗り上げている。あるいは、3.関節に損傷、捻挫を来し、関節腔に浸出液が貯留して浮腫が生じ、筋肉によって関節を保護する為に、筋肉を収縮して開口制限が生じている。この場合、冷却して15から20秒後の開口させ、ストレッチしてみる。次に指を挿入して咬筋をマッサージする。リラックスさせる為に抗炎症剤投薬を投与する。これらによって、臼歯部開口が咬合するようになれば、問題は筋肉にあったことになる。
前歯部開口(Anterior Open Bite)
開口はさらに、側頭、後頭の頭痛に発展させる。その場合、前歯部と犬歯部に誘導を与えたスプリントを装着し、頭痛が消失したら、前歯のオーバーラップの不足が原因であることになる。関節に損傷を受けると関節腔に浸出液が貯留し、臼歯部開口が出現する。
歯ぎしり(Bruxism)
睡眠に入ると、ノンレム睡眠を70-80分間、次にレム睡眠を14-17分位行い、同じ事を繰り返す。夜間の歯軋りは、レム睡眠の時期に行い、70~80分毎にそれが訪れる。レム睡眠は、睡眠時に目が急速に動くことから由来している。別名は、パラドキシカル睡眠といい、夢を見ていて起こすのが困難であることから由来している。ノンレム睡眠は、睡眠深度で3つに分類される。覚醒中の脳波は、アルファ波であり、12Cycle/sec.出ているが、睡眠に入って、1.ステージⅠノンレム睡眠に入り、脳波は、は、7~8Cycle/Sec.位に落ち、自分では起きていると思っている。快適な疲労の場合には、すぐに、第2段階の睡眠、ステージⅡノンレムに移行する。 歯ぎしりは、不安、ストレス、緊張に対する反応であり、全ての睡眠のステージで生じるが、頻発するのは、ノンレム睡眠のステージⅡ睡眠である。ステージⅡ睡眠中の歯ぎしりは症状を伴わないが、レム睡眠中は症状を伴う。1時間当たり、10秒位するが、30秒以上に対して、疼痛などの症状が出現する。深い睡眠に入り、スプリントを破壊するようであったら、夜間は、神経筋機構が働かないので中枢神経に作用する三環系抗鬱剤を処方し、睡眠の深度を変更し、ステージⅢの睡眠の層に留めておく。横向きの睡眠は、下顎が側方移動し、歯ぎしりする傾向が強くなるので注意しておく。起床時には、頚部痛を防止する為に、枕で首を保護する必要である。最近の研究で65%Full Arch Splintで優位にBruxingを削減することが出来ることが判った。
投薬
顎間節症の90%の問題は、関節ではなく、くいしばりなどに起因する筋肉由来である。スプリント、バッファリンなどの鎮痛剤に効けば筋骨格系の疼痛であり、効かなければ非骨格性ということになる。筋骨格系は、ストレスマネージメント、リラクゼーション、エクササイズ、行動療法、あるいは、心理療法に反応する。緊張型であるので、セルフマネージメントで予防可能である。この場合の開口障害は、動かさないようにする生体が行う生体防御機構である。筋骨格系の痛みは、スプリント、冷却、鎮痛剤、非ステロイド系の抗炎症剤の投薬に反応する。冷凍食品などの冷たいものを当てると、15秒位冷やして直らないのであれば、頚部や肩からの関連痛かもしれない。
Aspirin
ヒポクラテスを始め、紀元前400年頃のギリシャ人は通風、関節炎、疼痛、発熱に柳の皮や葉を煎じて飲ませると症状が軽減することを知っていた。その物質は、アセチルサリチル酸で、サリチル酸にアセチル基という酢酸の単位がついたものである。柳の事をラテン語でサリックスといい、抽出された物質をサリチル酸と呼んだ。サリチル酸は水に溶けないので、水溶性を増す為、サリチル酸をナトリウム塩にしたサリチル酸ナトリウムにして通風、関節炎に拠る疼痛の特効薬として利用された。通風とは、血中尿酸が増加する事で関節に炎症が生じ、激しい疼痛の病気のことである。1897年、バイエル社は、アスピリンという登録商品名で、鎮痛、解熱、抗炎症の効果を示す。 バイエル社のフェニックス ホフマンは、リウマチ性関節炎の父にサリチル酸で疼痛を解消したが、胃炎、吐き気等の重い副作用が併発していた。1897年、サリチル酸にアセチル基をくっつけたアセチルサリチル酸を処方し副作用も解消した。バイエル社は、1890年、アスピリンとしてパテントを取得して発売した。心臓発作、結腸癌、脳溢血、アルツハイマー、偏頭痛、早産、肺の炎症を抑える事迄判った。1980年、FDAは狭心症の心臓発作予防の有効性を認めた。プロスタグランディンから生成されるトロンボキサンは、血小板を凝固させて血液凝固の引き金になる物質である。アスピリンは、アスピリンがプロスタグランディンの生成を抑制するヵらである。
Diet
肉の過剰摂取は、骨からカルシウムが放出を促進し、カルシウム不足を誘発する。エスキモーの人たちはアザラシの肉を大量摂取しているので、歯周病、顎関節症、骨粗しょう症など骨のカルシウムに関わる骨疾患に罹患しがちである。 ビタミンD欠乏は、骨が硬くならず、骨が柔らかくなるくる病を誘発する。歯周病、顎関節症、骨粗しょう症もビタミンDやカルシウムの不足で生じる。ビタミンDの役割は骨生成で、骨にならない有機リン酸から骨になる無機リン酸へ変えることである。カルシウムを摂取したとしてもビタミンDが不足していれば小腸を素通りする。ビタミンDが不足していると、骨を作っているハイドロキシアパタイトが溶け出す。ハイドロキシアパタイトは無機リン酸とカルシウムから出来ている。日光に当たるだけで、コレステロールからビタミンDが合成させる。 有害な鉛、カドミウムが蓄積されていると、注意力欠損多動症、情緒不安定、精神症状、パラファンクションを誘発する。鉄は、有害な鉛、カドミウムを吸着し、対外に排泄する機能がある。鉄は、汗、尿と一緒に1日1g喪失する。生理は月経血と一緒に鉄を排泄し、生理の時の女性はさら0.7g排泄される。食事からの鉄分が喪失すると、肝臓に貯蓄されている鉄が放出されることになる。食物繊維は、栄養素の吸収を阻害するので、カルシウム、鉄が不足しがちになるので、骨粗鬆症、貧血、歯周病、顎関節症などの症状がある場合、食物繊維の取り過ぎを控える必要がある。 しょうがには、発汗作用、消炎作用、保温作用がある。玉ねぎに含まれる刺激成分、硫化アリルは血行を良くする、これらは、顎関節症、頚肩部痛みにも効果がある。すりおろしたショウガ、玉ねぎに小麦粉を入れ、適当な硬さになるまで練ってガーゼに塗り患部を湿布する。乾燥したら取り換えるように指導する。カルシウムは、骨や歯を作り、月経困難症のようなひどい生理痛を解消し、血圧、精神状態を安定化する。不足すると、歯周病、くいしばり、顎関節症、寝不足、いらいら、憂鬱を誘発する。カルシウムは骨、歯を形成する。ラーメンに入っている化学調味料に含まれるリン酸はカルシウムを減少させ、歯周組織、顎関節の健康を害する可能性がある。 Cervical(頚部)
偏頭痛、慢性緊張型頭痛等の慢性疼痛の根底に、首や頭蓋骨底、肩の上部に筋膜性発痛点を有することが多い。首と肩に筋膜性圧痛点を探し、それを治療することで頭痛を解消出来ることがある。 頭痛を有する患者の検査は、他の部位の筋膜性圧痛点に対する検査と同じ。触診によって筋膜性発痛点の探すのである。身体的所見は、2つに分類することが出来る。患者の主観的所見の圧痛や放散痛、客観的所見では緊張した帯状のすじが触れたり、局所的な痙攣反応が見られることである。
ROM(Range of Motion)
頭痛、首や肩の痛みを有する患者の頭や首の筋肉に対する検査は、制限されている緊張した帯状の筋を探すことである。 首の右回旋は、首の回旋筋である左の胸鎖乳突筋、頭を左回旋は,右の胸鎖乳突筋が収縮することでなされる。胸鎖乳突筋は二頭筋で、胸骨頭と,鎖骨頭があり、両方とも乳様突起に付着し、これらが収縮によって頭は回旋する。 頚を左側回旋する場合、右の胸鎖乳突筋を収縮させ、左側の胸鎖乳突筋は弛緩した状態になければならないが、これが緊張していると、回旋を阻害される。左右の胸鎖乳突筋が、同時に作用すると、頭は前方に屈曲する。この際、首を伸展する首の後方に伸ばす僧帽筋や,傍脊柱筋を弛緩させる。胸鎖乳突筋に発痛点があれば、他方の胸鎖乳突筋や、首の後方の筋肉も調べる必要がある。さらなる頚の主要な回旋筋は、頚板状筋で、上位の胸椎、T1,T2,T3から起始し、傍脊柱筋に沿って走行し、上位3頚椎の、横突起の後ろに付着する。つまり、頚を左側回旋させるときは,右側胸鎖乳突筋と、左の頚板状筋を作用させるのである。
Rotation(回転)
頚の関節可動域が90°を下回ると制限されていることになる。関節可動域を制限する原因は、脊椎症や変形性関節症によるものよりも、筋肉に起因していることが多く、筋肉の治療で関節可動域が増加させることが可能になる。筋肉を弛緩させ、筋肉の発痛点を不活化することによって、正常な関節可動域に戻したり、関節可動域が増加させることができる。回旋が制限されている場合、筋肉内の発痛点を探さなければならない。右に回旋させるのは、右の頚板状筋であるが、左回旋に制限がある場合、緊張した筋肉のすじを伴った右の頚板状筋のすじを伴った発痛点があることが多く、このすじの為、筋肉のストレッチが為されないので、この筋の発痛点除去を行う必要がある。
Side Bending(側屈)
頭を側屈する時、一方の僧帽筋と斜角筋を収縮させ、反対側を伸ばす。筋肉内の発痛点は、筋肉を伸ばすときに、頭の動きを制限する。
Anterior Bending(前屈)
首を前屈させる場合には、両側のSCMが同時に作用
Posterior Bending(後屈)
首を伸展する場合は、SCMは首が伸展し過ぎないように制限する。SCMは首が伸展する際にストレッチされなければならないが、SCMに発痛点があるなら、首の伸展は制限される。僧帽筋、頭半棘筋、頭板状筋、頚腸六筋、深層の帽脊柱筋などの頚のすべて伸筋群の筋肉をストレッチする。
Whiplash(むち打ち)
むち打ちの場合、シ-トベルトで体が固定され、頭が固定されないので,追突されると頭は後ろに行ってから前にいき、大きく頭が動き、重力が加わるので、頚椎、脊椎椎間関節、靭帯に対する損傷が起こり、筋肉は断裂、伸展されたりして発痛点が出現する。この場合、発痛点が除去されなければ、偏頭痛、緊張型頭痛が残り腕への放散痛が誘発される。頚椎上部の筋肉にある、発痛点の関連痛パターンは、脊椎椎間関節に対する損傷にもとづくとされてきた関連痛パターンと重複する。分節の分布は、筋肉の神経支配のレベルに反映し、C2、C3の脊椎椎間関節は後頭部の痛みに関連する。頭板状筋から誘発される関連痛パターンに似る。 追突で頚部に損傷が加えられ、侵害刺激が頚神経から2次ニューロンへ伝達され、その情報が視床下部に伝達され、視床下部で情報を分析して、大脳皮質に情報を伝達する。大脳皮質は、その情報を解析して頚部の痛みとして認識する為、痛みは層帽筋に出現する。痛みの発生部位と感受部位が同じの原発性の傷みである。
Respiration(呼吸法)
頭板状筋と頭半棘筋における発痛点と関連があり、頭痛と関連する。慢性緊張型偏頭痛の場合、発痛点の不活化を試み、そして、筋肉弛緩法を教える。プラハのカ-ル・レビット博士が提案した方法は,等尺性筋収縮に引き続いて弛緩を行い、筋肉をストレッチし,呼吸法によって促進する。息を止めたり,深く息を吸って止めることで筋肉の収縮を楽にし、息をはきだすことで、筋肉の弛緩を容易にするという筋収縮弛緩法に呼吸法を加えて,筋肉の弛緩させ、発痛点を軽減する。「私の手に対抗して1%の力で肩を持ち上げて」といい.息を深く吸っておよそ五秒間止め、息をゆっくりとはいて,筋肉を弛緩させ,肩を落としてもらう。これは一人で出来る方法である。